Épine calcanéenne.

Vous avez mal au talon, parfois jusqu’à vous demander comment vous allez faire pour poser le pied par terre le matin au moment du réveil… Et cela ne s’arrange pas avec le temps.
Vient, alors, le jour où vous consultez et bien souvent l’examen clinique du praticien se limite à peu de choses… il écoute, certes un peu, et « regarde » votre pied.
Souvent (pour ne pas dire très souvent), la consultation se termine par la prescription d’une radio. Que vous faites bien volontiers !
Ensuite vient le moment d’obtenir le rapport du radiologue et, souvent, vous entendez que vous avez « une épine calcanéenne ».

Épine calcanéenne ?
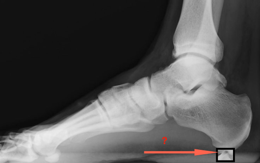
De quoi s’agit-il ? Comment l’imaginez-vous (si on ne vous l’a pas montrée) ? Cela « devrait » faire mal si cela ressemble à ceci (image ci-dessous)

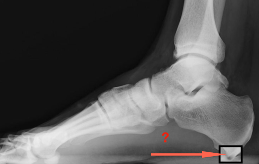
Anatomiquement, s’agit-il de ceci ? (qui devrait faire mal)

Ou de ceci ? (qui devrait faire mal)

Eh bien non, il s’agit de ceci ! Et qui ne « pique » pas…

Qu’en est-il de cette fameuse épine qui ne pique pas ? L’épine de Lenoir est une trouvaille radiologique. Elle se situe à l’origine de l’insertion des courts fléchisseurs des orteils. Elle est observable chez 50 % des cas de fasciite plantaire et chez 15 % de la population asymptomatique. Elle n’entraîne pas de douleur en soi et il n’y a pas de lien précis entre l’épine et la fasciite (aponévrosite plantaire).

S’il n’y a pas de lien entre l’épine et la fasciite (ou aponévrosite plantaire), qu’est-ce qu’une fasciite et comment la soigner ?

Lire ceci : https://orthopedie-pour-tous-vos-douleurs.com/aponevrosite-plantaire-fascite/

ACCUEIL

 

Un commentaire sur “Épine calcanéenne.

Laisser un commentaire