Acromio-claviculaire

L’articulation acromio-claviculaire est souvent traumatisée en cas de chute, particulièrement sur le côté.
Conséquences :
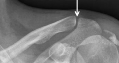
La luxation : outre la douleur locale, on observe une « touche de piano ».
Le traitement ne relève pas de la Médecine Orthopédique Générale.

Luxation ACL’entorse :
Le patient décrit une douleur locale qui peut irradier dans le trapèze (dermatome C4)
(contrairement aux douleurs causées par un trouble de l’épaule ICI ou de la colonne cervicale ICI)

AC douleur locale

Le patient montre souvent la zone de lésion avec l’index de sa main opposée (pointing test)

Pointing testIl faut toujours commencer par un examen clinique de l’épaule (12 tests)

À l’examen, un test fait penser à l’AC
– La rotation interne passive

Rot interne passive ACIl faut alors confirmer l’hypothèse par le test de déplacement horizontal passif vers l’autre épaule

Add horizontale ACTraitement :
Massage transversal profond pour les ligaments superficiels :

Capture d’écran 2018-02-05 à 03.02.40.png

Infiltrations pour les ligaments profonds ou en cas d’échec du MTP (voir ci-dessus)

Infiltration ACIl faut parfois infiltrer sous contrôle radiologique, surtout si l’articulation est arthrosée.

Capture d’écran 2018-02-05 à 03.05.16.png

Très bon pronostic

Remarque :
Une entorse de l’articulation acromio-claviculaire peut exister en même temps qu’une inflammation de la bourse (bursite). Dans ce cas, les douleurs projetées se feront dans le dermatome C4 ET dans le dermatome C5

Dermatome C4 et C5

Vous pouvez m’interpeller, je vous répondrai dans la mesure de mes moyens !

Accueil

rolleyes

Besoin d’un petit break pas loin de chez vous ?
Face à la mer opale dans un appartement moderne et familial (prix raisonnables)…
Cliquez sur la photo ci-dessous

Capture d’écran 2016-01-25 à 14.51.11

 

72 commentaires sur “Acromio-claviculaire

  1. Avatar de NGUYEN VAN TY Médard NGUYEN VAN TY Médard dit :

    Bonsoir,
    J’ai une pointe aiguë (en appuyant dessus, cela fait mal) au niveau de la pointe du clavicule droit (au milieu, sous le cou).
    Depuis 1 heure, en regardant le YouTube du smartphone pendant 3 heures, lorsque j’ai constaté cette douleur.
    Je vous remercie pour l’explication du problème s’il vous plaît.
    Cordialement.
    Médard Nguyen Van Ty

  2. Avatar de Durand Durand dit :

    Bonjour, Est-ce qu’une bursite sous acromion deltoidienne modérée peut ne donner aucune douleur dans l’épaule mais en donner dans le biceps et triceps lors de l’élévation du bras gauche. Douleur qui dure depuis 1 an. Anti -inflamatoire et kiné n’ont rien donné. Il n’y a pas d’anomalie à la radio. Est-ce que cette douleur peut venir d’autre chose?

    • Bonjour,
      votre question est un peu vague.
      Il vaudrait donc mieux revoir le schéma des douleurs projetées afin d’évaluer si vos douleurs se situent dans ce territoire. Remarquez bien que plus la bursite est importante, plus la douleur descendra vers le pouce.
      Par ailleurs, il faut toujours confronter les plaintes avec l’examen clinique que vous trouvez aussi dans l’article.
      Un peu plus bas, vous pourrez lire : « Par contre, lorsque la douleur est importante, vous pouvez pratiquer vous-mêmes quelques tests très simples… »
      Regardez bien le test que vous pouvez réaliser vous-même en tenant compte du fait qu’il sera positif si vous reproduisez VOTRE douleur.
      Il n’y a pas de tracement de kinésithérapie pour une bursite sous-acromiale, mais – normalement – un bon kiné doit aider le patient afin que la bursite ne revienne pas, lorsque la période la plus inflammatoire est passée (souvent grâce à une infiltration.)
      Remarquez aussi qu’on ne voit pas la bourse à la radio, mais bien à l’échographie (j’en parle en détail dans l’article.)
      Cordialement,
      Yves Seghin

  3. Avatar de Marc Marc dit :

    Bonjour

    J ai 30 ans et je me suis fait une disjonction AC stade 3 avec operation en bouton tighrope dans la clavicule il y a 3 ans (Mars 2018)
    J ai actuellement des tensions dans le trapeze j ai l impression que ce fil et ce bouton me gene ca me « tire » h24 et font se tendre le trapeze mais je ne suis pas certain… et j ai peur si j enleve ce fil que les ligaments ai mal cicatrisés…
    Pensez vous de votre avis que je puisse l enlever et mes ligaments seront ils assez solides sans ce fil ? Et que ca puisse regler ces problemes.
    Sinon j ai tte ma force et pas de douleur mais ça « tire »

    Merci infiniment

    Cordialement

  4. Avatar de Laetitia Derode Laetitia Derode dit :

    Bonjour
    J’ai une disjonction acromio-claviculaire de stadec2 depuis 4 semaines immobilisation depuis 2 semaines. Je souffre le martyr la nuit est-ce normal ? Que puis je faire ? Qu9je regarde vos dessins j’ai mal à ce et c5.

    • Bonjour,
      Vous me donnez peu d’éléments, mais je vais me risquer à des hypothèses.
      Une lésion importante de l’acromio-claviculaire est toujours traumatique et c’est important pour expliquer vos douleurs : dermatome C4 et C5.
      Vous parlez de « disjonction ».
      Si cela veut dire « luxation », il faut évaluer le stade et obtenir l’avis d’un chirurgien orthopédiste : https://www.revmed.ch/RMS/2008/RMS-166/Lesions-acromio-claviculaires-diagnostic-et-traitement
      S’il s’agit d’une entorse, le traitement est dit « conservateur » : commencer par des anti-inflammatoires, évaluer l’efficacité du MTP et/ou de l’infiltration.
      Mais l’atteinte de l’articulation AC provoque des douleurs dans le dermatome C4.

      Si vous avez aussi des douleurs dans le dermatome C5, il se pourrait que le traumatisme ait provoqué une bursite (dite traumatique) qu’on peut facilement mettre en évidence à l’examen clinique et à l’échographie.

      Il faudrait donc qu’un praticien fasse l’examen clinique complet de l’épaule afin, peut-être, de mettre en évidence les deux pathologies (on parle d’image clinique) et il décidera, peut-être, d’infiltrer la bourse (il n’y a pas d’autre traitement) ce qui vous soulagera déjà et permettra, peut-être de mieux aborder l’AC.

      Examen clinique complet de l’épaule : test de base :
      Cet examen clinique de base pourrait permettre de soupçonner l’AC et la bourse, mais peut-être aussi d’autres pathologies.
      Ne pas oublier non plus les possibles fractures (dont de la tête humérale) lors de traumatisme.

      Cordialement,

      Yves Seghin

  5. Avatar de Sophie Rouget Sophie Rouget dit :

    Bonjour
    J ai chuté il y a 15 jours et atterri sur mon épaule gauche.
    Horrible…
    Bref je viens de passer une écho.
    Tendinopathie du supra epineux
    Jusque la je comprends ….
    Mais « épaississement des structures capsuloligamentaires acromioclaviculaires……..je comprends moins …
    Pouvez vous m expliquer svp ??
    Merci beaucoup

    Sophie

  6. Avatar de Oualid Oualid dit :

    Oualid2 juin 2018 à 02:10
    Bonjour Docteur,

    je vous contacte pour mon épaule droite douloureuse depuis 3 ans. Je ne suis pas vraiment sportif. La cause du problème est une mauvaise posture au bureau et une sur-sollicitation de l’épaule pour le travail sur clavier/souris. J’ai 39 ans et je suis droitier.

    Conclusion de l’examen IRM d’aujourd’hui est:
    « Discrète tendinopathie du supra-épineux sans signe de fissuration ni de rupture. Arthropathie acromio-claviculaire sans remaniement congestif. »

    Conclusion de l’examen IRM il y a 2 ans:
    « Tendinite du sub-scapulaire. Discrète tendinite du supra-épineux.

    J’ai fait pas mal de séances de kiné durant les 2 dernières années, sans résultats… Le matin pas de douleur. La douleur se déclenche rapidement dès l’utilisation de mon épaule dans la vie quotidienne.

    1- Comme pourrait-on expliquer l’évolution du diagnostic IRM: la tendinite du sub-scap a été remplacée par arthropathie ?

    Je reviens voir mon médecin avec l’IRM dans une semaine. J’ai vu que le protocole de traitement est kiné puis infiltration puis chirurgie. Partons sur l’hypothèse d’une proposition d’infiltration:

    3- faut-il du repos après l’infiltration (attelle ? pas de conduite de voiture ? pas d’utilisation de l’ordinateur ? etc.)

    4- quelle intervalle de temps entre 2 infiltrations successives ?

    Merci d’avance !

  7. Avatar de Jean Jean dit :

    Bonjour Docteur,

    J’ai une entorse de l’acromio-claviculaire depuis fin février (lié à la musculation) diagnostiquée stade 1 par échographie. Aucune amelioration malgré l’arrêt du sport et semaine dernière avec reprise de mes activités, conduite, natation (que j’avais stoppées à cause operation du genou), j’ai une douleur forte et une très nette touche de piano. Je ne sais pas quoi faire pour que ca cicatrise correctement strapper l’épaule et porter une attele ?
    Est ce que je pourrais récupérer mon epaule sans laxité avec le traitement du médecin = des antinflammatoire oraux ?
    Impossible de voir un médecin spécialisé avec moins de 3 mois d’attente dans ma région et les médecins généralistes ne savent pas vraiment comment traiter ce type de soucis j’ai l’impression.

    • Bonjour,
      – On peut essayer le « Massage Transversal Profond », mais il pourrait ne pas être suffisant.
      – Quid d’une infiltration ?
      – Stade 1 ne devrait pas donner d’instabilité.
      Stade I

      Entorse acromio-claviculaire simple avec distension sans rupture des ligaments acromio-claviculaires. Pas d’instabilité
      Stade II

      Subluxation acromio-claviculaire avec rupture des ligaments acromio-claviculaires, les ligaments coraco-claviculaires étant distendus mais non rompus. Petit bâillement de l’articulation (discrète mobilité de haut en bas) sans mobilité anormale antéro-postérieure
      Stade III

      Luxation acromio-claviculaire complète par rupture complète des ligaments acromio-claviculaires et coraco-claviculaires. Déformation visible avec saillie de l’extrémité externe de la clavicule pouvant être réduite par simple pression (touche de piano). Il existe en outre une mobilité antéro-postérieure (tiroir antéro-postérieur)
      – + Avis d’un chirurgien de l’épaule.

      Voir : http://www.docteurrouxel.com/pathologie-acromio-claviculaire.html
      Cordialement,
      Yves

  8. Avatar de Olivier Rainot Olivier Rainot dit :

    Bonjour Docteur,
    Je vous écris encore une fois.Voici mon historique.
    J ai été opéré en 2011 d’une tendonese du long biceps puis en 2014 une réinsertion du tendon sus epineux. J ai toujours une douleur niveau face antérieure de l’eoaule mais les arthro-irm / échographies n’ont rien démontré. J ai passé un IRM classique et le radiologue a diagnostiqué une minime arthropathie acromio-claviculaire peu congestive mais un aspect continent des tendons supra et infra épineux d’epaisseur et signal normaux, classés SUGAYA 1. Qu est ce que vous me conseillez de faire, une resection ou infiltrations ? Pensez vous que le tennis est conseillé? Je vous remercie et vous souhaite une bonne journée. Cordialement Olivier

    • Monsieur,
      Vous racontez, malheureusement, la même histoire que des dizaines d’internautes (et de patients).
      En effet, vous n’avez connaissance que des résultats d’examens techniques. Or ceux-ci ne sont que des outils pour poser un diagnostic et envisager une thérapeutique.
      Je viens de faire un post à ce sujet : ICI
      Les imageries sont fascinantes, mais elles piègent souvent patients et thérapeutes.

      L’enjeu essentiel est donc de suivre une procédure qui constitue une stratégie pour approcher au mieux la cause de votre problème.
      1. Vous écouter longuement et avoir une bonne idée de la localisation de la douleur, car cette localisation permet d’éliminer beaucoup de pathologies (+ l’importance de votre âge). Revoyez le post et vous constaterez qu’il est impossible d’avoir mal dans le bras à cause d’une acromio-claviculaire, ce qui n’est pas le cas avec une bursite sous-acromiale (bien que les deux structures sont l’une au-dessus de l’autre) Voir ICI
      2. Réaliser des tests clinique au cabinet du médecin ou du kinésithérapeute = 12 tests de base pour l’épaule et si on a un soupçon à propos de l’acromio-claviculaire : 13° test que vous trouverez aussi sur le post.
      3. Décider d’une stratégie. Et les examens techniques ne sont pas toujours nécessaires. Si ces examens semblent nécessaires, il faut qu’ils corroborent les soupçons (de l’anamnèse et de l’examen clinique) pour agir.
      4. Évaluer les effets du traitement
      5. En fonction du 4° point : évaluer comment améliorer ou consolider.

      Dans votre cas, si on procède à l’envers : il semble que votre acromio-claviculaire souffre (IRM). Reste à savoir si l’examen clinique le confirme et si vos douleurs correspondent (revoir dans les deux cas le post). On pourrait, ensuite, conclure que votre AC est la cause de vos douleurs.
      Il faudrait alors suivre la procédure habituelle :
      – quel effet du Massage Transversal profond ?
      – quid de l’infiltration (à faire par un radiologue) ? Quel bénéfice à une et deux semaines (sans traitement par ailleurs et sans effort afin que le produit ait le temps d’agir).

      Quand tout va mieux, recommencez tranquillement le sport et vous verrez.
      Retenez quand même que personne (avec les éléments que vous donnez) ne peut se prononcer avec certitude sur la cause de vos douleurs.
      Cordialement,

      Yves

    • Vous trouverez une partie de la solution en lisant : https://orthopedie-pour-tous-vos-douleurs.com/une-consultation-type-en-medecine-orthopedique/
      Cela étant, il se pourrait qu’une infiltration dans l’acromio-claviculaire puisse donner des renseignements utiles. En effet, si l’infiltration vous aide, cela veut dire que cette articulation est centrale dans l’explication de vos douleurs (avantage : infiltration facile).
      Ne pensez plus au tennis tant que vous n’avez pas compris la cause de vos douleurs et tant que vous n’avez aucune piste pour les résoudre. En effet, le tennis sollicite beaucoup l’AC et l’épaule.
      Cordialement,
      Yves

  9. Avatar de Simon Simon dit :

    Hello ! j’ai 60 ans et il y a 3 jours j’ai coupé un peu de bois. Le soir j’avais mal exactement sur le point rouge de la première photo , j’ai massé un peu avec du baume du tigre, mais le mal m’a quand même empêché de dormir un peu. Depuis, j’ai toujours mal à cet endroit précis. Juste sur la bosse au bout de l’épaule. c’est l’acromion je pense. en tout cas si je faie le 2ème test de rotation (je le fais seul) de passer le bras devant moi à hauteur d’épaule, ça me fait un mal de chien. dès que le bras est à 90° p/r au corps. Je n’ai pas mal ailleurs, et je me demandais si c’était pas juste l’articulation à ce niveau qui s’était enflammée ?
    Merci de votre réponse.

  10. Avatar de Nathalie Milot Nathalie Milot dit :

    Bonjour, ai eue accident d’auto en janvier 2017 résultant une entorse et/ou fracture acromio-claviculaire (ils n’en sont pas sur).
    Ai eue seulement radiographie et traitement de physio depuis plus de 5 mois.
    Dernièrement ai reçu infiltration de cortisone et la douleur a augmenter et ne semble pas diminuer (malgré prise de tylenol), elle se prolonge au muscles du bras et trapèze.
    Y a t-il espoir de guérison ou dois-je apprendre a vivre avec cette douleur?

    • Bonjour,
      Attention il y a peut-être un piège.
      En effet, le traumatisme de l’acromio-claviculaire a bien été identifié et peut-être fallait-il infiltrer.
      Cependant… cependant une « souffrance » de cette articulation provoque des douleurs locales et des douleurs qui remontent vers le cou comme vous pourrez le constater en lisant cet article : ICI.
      Les douleurs dans le bras ne peuvent pas être imputées à une lésion de l’articulation acromio-claviculaire…
      Il pourrait par contre s’agir d’un trouble cervical et/ou d’une structure de l’épaule qui n’est pas l’AC, comme une bursite.

      Bref, il faut parfois remettre en cause les explications évidentes.
      Cordialement.

      Yves

  11. Avatar de Sylvie Sorel Sylvie Sorel dit :

    Bonjour Docteur
    Mon fils pratique le tir à l’arc depuis 11 ans et depuis trois ans se plaint de temps en temps d’avoir mal à son bras d’arc, épaule gauche, douleur située dans le creux de l’articulation de l’epaule sur le dessus. Nous avons fait des radios mais rien a été trouvé au niveau de l’acromio claviculaire.
    Il n’a pas de caries, tourne correctement sa tête à gauche comme à droite. Il a une très légère double scioliose inférieure à 5 degrés. L’année passée il s’est fait enlever une dent de sagesse, et le chirurgien lui a également ouvert les 4 molaires qui étaient toujours incluses à 19 ans. En effet l’orthodontiste le demandait, car après avoir porté un appareil pendant trois ans, ce dernier ne veut pas que tout le travail effectué pour aligner ses dents, soit perturbé avec l’apparition tardive des molaires.
    A titre d’information supplémentaire mon fils a une insuffisance surrénalienne chronique depuis la naissance traitée par corticoïdes, 30 mg d’hydrocortisone et 15 microgrammes de fludrocortisone par jour à ce jour. Il a également une adrénoleucodystrophie liée à l’X (lésion cérébrale sur corps calleux apparue à l’âge de 3 ans) pour laquelle il a eu trois chimios et trois greffes de moelle osseuse, cellules souches et sang de cordon depuis 12 ans.
    Le tir à l’arc est un des seuls sports qu’il peut pratiquer et le professeur qui le suit nous a indiqué que le tir à l’arc est un très bon sport puisque ça l’oblige à coordonner ses mouvements.
    Donc, comment solutionner le problème d’épaule qui réapparait ? Est ce dû à un mauvais port de tête, une mauvaise position ? Peut il aller consulter un ostéopathe ? Un éthiopathe ? Un acuponcteur ? Merci de votre réponse car la solution qui nous avait été donnée il y a trois ans c’était une infiltration de cortisone.
    Vu le traitement à vie par corticothérapie qu’il avale, il nous semblait, à l’époque impensable de lui en redonner plus.

    • Mon fils pratique le tir à l’arc depuis 11 ans et depuis trois ans se plaint de temps en temps d’avoir mal à son bras d’arc, épaule gauche, douleur située dans le creux de l’articulation de l’épaule sur le dessus. Nous avons fait des radios, mais rien n’a été trouvé au niveau de l’acromio-claviculaire.
      Il n’a pas de caries, tourne correctement sa tête à gauche comme à droite.
      Il a une très légère double scoliose inférieure à 5 degrés.

      À négliger.

      L’année passée il s’est fait enlever une dent de sagesse, et le chirurgien lui a également ouvert les 4 molaires qui étaient toujours incluses à 19 ans. En effet l’orthodontiste le demandait, car après avoir porté un appareil pendant trois ans, ce dernier ne veut pas que tout le travail effectué pour aligner ses dents, soit perturbé avec l’apparition tardive des molaires.

      Cette démarche est à la mode et jolie, mais…

      À titre d’information supplémentaire, mon fils a une insuffisance surrénalienne chronique depuis la naissance traitée par corticoïdes, 30 mg d’hydrocortisone et 15 microgrammes de fludrocortisone par jour à ce jour. Il a également une adrénoleucodystrophie liée à l’X (lésion cérébrale sur corps calleux apparue à l’âge de 3 ans) pour laquelle il a eu trois chimios et trois greffes de moelle osseuse, cellules souches et sang de cordon depuis 12 ans.
      Le tir à l’arc est un des seuls sports qu’il peut pratiquer et le professeur qui le suit nous a indiqué que le tir à l’arc est un très bon sport puisque ça l’oblige à coordonner ses mouvements.

      Bien sûr !

      Donc, comment solutionner le problème d’épaule qui réapparaît ? Est-ce dû à un mauvais port de tête, une mauvaise position ? Peut-il aller consulter un ostéopathe ? Un étiopathe ? Un acuponcteur ? Merci de votre réponse, car la solution qui nous avait été donnée il y a trois ans c’était une infiltration de cortisone.
      Vu le traitement à vie par corticothérapie qu’il avale, il nous semblait, à l’époque impensable de lui en redonner plus.

      L’essentiel est de chercher et de trouver le tissu responsable de la douleur. Avec ce que vous dites, on peut s’orienter vers la bourse sous-acromio deltoïdienne. Comme vous le lirez sur le post, l’examen clinique donne déjà de bonnes informations. Ensuite, l’examen de choix est l’échographie.
      Ensuite, s’il s’agit de cela il faut suivre un protocole strict d’infiltrations ET de récupération du mouvement naturel de l’épaule afin de protéger l’espace sous-acromial qui est très fragile.

      Yves

  12. Avatar de redin redin dit :

    Bonjour j’ai passé un IRM le 17.01.2017 il on trouvé une persistance d’une tendinite supra épineuse avec hypersignal de l’os sous chondral postérieur de la tete humérale évoquant un conflit gléno-huméral pouvé vous m’expliquer se que cela veut dire merci d’avance .

  13. Avatar de Coin Coin dit :

    Bonjour, j’ai une entorse acromio claviculaire depuis 6semaines ( depuis le 12 novembre ) , et j’ai encore des douleur à la clavicule et également au bras (entre l’épaule et le coude ) , comme si le muscle se détendait.
    Pas de fracture, et rien aux muscles, ( j’ai fais une radio et une écho )
    Pouvez-vous m’aider ?
    Le médecin me dit que ça peut durer jusqu’à 3 mois

  14. Avatar de Gaetan Gaetan dit :

    bonjour,

    J ai fait une accident de scooter.
    J e suis tombé sur l acromion, epaule droite.
    Resultat: luxation acromio claviculaire avec clavicule tres haute. J ai été opéré et les ligments coraco claviculaire et acromio claviculaire ont été resuturés et le ménisque luxé enlevé.Pose d un cable caroco claviculaire tightrope. Ensuite échapre coude au corps 3 semaines puis kiné.
    J ai fait de la kiné en piscine, mon bras était très raide, mais la mobilisation etait douce dans l eau.
    Mobilisation du bras levé vers l avant, derriere et sur les coté.
    On m a découvert une capsulite, ce qui fait que l omoplate part avec dans les mouvements…
    J ai peur que ca solicite trop les ligament acromio claviculaire vue qu il y a plus de mouvement en AC vue le blocage caroco claviculaire.
    Ma clavicule a été remise en place lors de l opration avec un cable tightrope mais il y a hyperreduction, la clavicule est 5mm plus basse que l acromion.
    Cela fait 3 mois, apres mon opération et difficulté de lever mon bras plus que 90 degres sur le coté et tres dur de lever vers l avant.
    J’espere que l hyperreduction claviculaire n est pas en cause mais l immobilisation et le stress plutot, ou s agit il d une bursite ou autre inflammation du à lyperreduction claviculaire ou au stress et l immobilisation.
    Est-ce bon de continuer des mouvements ample a la kiné en passif, vue qu il y a capsulite et que l articulation AC travail plus ducoup vue que l omoplate bouge avec le bras donc plus de mouvement au niveau AC.
    De plus j ai l impression que ma coracoide touche la clavicule quand je leve mon bras vers l avant.
    Merci

  15. Avatar de BODELOT Céline BODELOT Céline dit :

    Bonjour,
    J’ai eût un accident en septembre 2013. J’ai fait une chute de ma hauteur en étant pressée. Résultat, deux jours après la chute, des douleurs intenses dans la nuque et le bras droit. Les examens, radios et emg montrent pour le premier une double entorse cervicale et pas d’atteinte du système nerveux pour le second. Environ un an plus tard, après avoir été diagnostiquée pour un whiplash et des ncb, je me plaignais toujours de mon épaule. Un irm montrait une bursite et un conflit sous acromial.
    en janvier 2016, en étant depuis l’accident de 2013 sur un poste aménagé m’evitant toute élévation du bras, j’ai de nouveau été privée de l’usage de mon bras droit. Douleurs cervicales et ncb de retour avec perte de force. Mon bras gauche fatigué à lui aussi commencé à peiner lourdement ce qui a déclenché un arrêt de travail. Je me réveille depuis toutes les nuits, j’ai un sommeil de qualité médiocre. Une écho fin janvier est à l’origine d’une consultation avec un orthopediste, le dr ayant effectué l’écho me disant que cela peut s’opérer.
    L’orthopediste me fait refaire des examens. Radio, irm et emg. L’irm fait auprès du même dr qui me fait quasi tous les examens révélera je cite : « diminution de l’espace sous acromial avec un aspect épaissit du bord supérieur du ligament acromio-coracoidien, collections liquidiennes dans la bourse sous acromio-deltoidienne et au contact du tendon du muscle du long biceps et dans l’articulation scapulo-humérale témoignant de remaniements inflammatoires. Remaniement de signal des tendons des muscles supra-épineux et infra-épineux témoignant d’une probable tendinopathie. »
    l’emg montre une altération des canaux carpiens, dominant à droite ainsi qu’au coude droit.
    J’ai été diagnostiquée comme ayant une fibromyalgie.
    L’orthopediste me conseille vivement de ne pas me faire opérer. Craignant que cela soit pire après. Je portais beaucoup d’espoir dans cette intervention… j’ai quatre séances de kiné par semaine. Deux en balnéothérapie pour remuscler l’épaule, et deux séances à visée antalgiques. Je souhaite vraiment passer un CAP pâtisserie et je me vois mal dans l’état actuel de mon bras supporter les répétitions de mouvements.
    pouvez-vous m’expliquer pourquoi je ne suis pas operable s’il vous plaît ? j’ai du mal à comprendre… est ce à cause de ma fibromyalgie, est ce trop peu atteint ? Je n’ai pas pensé à poser ces questions lors de mon Rdv étant un peu sous le choc.
    Merci infiniment des lumières que vous pourriez m’apporter.
    Cordialement
    Céline.

  16. Avatar de julia cossentino julia cossentino dit :

    pour faire suite javais oublier de vous dire c lepaule droite meme avec des mediacament calman et tout beaucoup de douleur je prend du voltarin en comprimer 100mg a cause qui pensait que cetais une bursite et trimadol

  17. Avatar de julia cossentino julia cossentino dit :

    bonjour depuis 2 mois on me disais que javais une bursitejai eu une infiltration dans la bourse qui a rien donner un mois me plaignant encore de douleur il mon refaite une infiltration mais la dans larticulation de leapule cella non plus a rien donner alors jai donc decider de voir un ortopediste qui ma fais faire une arthro irm resultat pas de bursite mais une discrete changement degeneratif debutant acromio claviculaire se manifestant par une discrete sclerose sous chondrale pouvez vous mexpliquer le tout svp je suis un peu inquiete jai eu mes resultat mais jai pas revue mon ortopediste encore

  18. Avatar de Xavier Xavier dit :

    Bonsoir,

    J’ai 25 ans et je suis pratiquant de musculation (au moins 3 fois par semaine). Je suis sujet à un épanchement acromio-claviculaire et cela fait 1 mois et une semaine que ça dure. J’ai laissé reposer un mois et j’ai repris le sport cette semaine avec des poids légers. Malgré tout j’ai mal. Est ce que je vais pouvoir reprendre mon sport avec des poids lourds ? Est-ce que je risque de m’abîmer encore plus si je pratique mon sport avec des poids légers ?

    Cordialement.

  19. Avatar de Quentin Quentin dit :

    Bonjour,

    Cela va faire 3 semaines dimanche que je suis tombé sur le coude droit lors d’une chute en snow. D’après les radios, j’ai une entorse acromio claviculaire stade 2 donc rupture des ligaments acromio claviculaire et étirements des ligaments coraco-claviculaire. Depuis j’ai une attelle écharpe qui me stabilise et me remonte le bras et donc l’épaule. J’ai une petite bosse qui ressort sur l’épaule (touche de piano). Apparemment d’après mon orthopédiste, je garderai ma bosse… N’y a t’il pas moyen de descendre ma clavicule un maximum en gardant l’écharpe un peu plus longtemps et en faisant de la kiné ou la cicatrisation est déjà finis ?.. Outre l’aspect physique, je n’ai pratiquement plus mal à part pour certaines positions du bras.. Je me suis donc tenté d’effectuer quelques pompes histoire de voir le degré de récupération. Je sais qu’il ne faut pas solliciter mon épaule mais c’étais plus fort que moi.. Et je me suis aperçu que mon épaule craquait à chaque mouvement des pompes mais je ne ressentais aucunes douleurs juste des craquements systématique.. Est ce normal ? Y aura t’il des répercussions avec le temps ? Je ne voudrais pas que cela soit définitif. Peut être qu’avec la kiné et le temps cela va s’arrêter ?

    Merci de m’éclairer je suis en plein stress ! Je connais tout les forums par cœur sur ce type d’entorse…

    Cordialement

    Quentin

  20. Avatar de amine amine dit :

    Bonjour je me permet de vous demander des infos, je récapitule :
    Douleur depuis le mois d’aout j’ai laisser reposé mon épaule mais la douleur continuait, j’ai consulté un médecin du sport qui a décelé au problème au niveau de l’articulation acromio claviculaire, j’ai fait une infiltration de torticoide.
    Après 1 mois la douleur étais moindre mais restai là, je repars voir le médecin qui me prescrit une infiltration d’Altim (mois de novembre) 1 mois après je ressent toujours une légère douleur qui grandit dès que je sollicite mon épaule.
    Début décembre je fais un IRM, conclusion : « atteinte dégénérative de l’articulation acromio claviculaire », je consulte un chirurgien qui me dit que l’opération n’est pas nécessaire, je refait une infiltration d’altim le 9 décembre, depuis aucune douleur mais je ressens encore une gene et dès que je sollicite mon épaule une petite douleur, on m’a dit qu’il fait encore laisser reposé qu’en pensez vous ça fait un mois et demi est ce normal, rassurez moi suis je sur le voie de la guérison, j’ai oublié j’ai 28 ans sportif et je travail dans le BTP.

    • Vous avez donc été bien pris en charge, mais il va falloir tenir compte de votre pathologie. En effet, cette atteinte est sûrement le résultat d’un surmenage chronique : atteinte dégénérative de l’articulation acromio-claviculaire = début d’arthrose = trop jeune.
      Il ne s’agira donc pas de guérison, mais de trouver le moyen de « faire avec ».

      Cordialement

      Yves

  21. Avatar de Chambat Chambat dit :

    Bonjour, D’après une échographie ,j’ai une capsulite rétractile…..et suite à un IRM , la conclusion est une arthropathie acromio-claviculaire. Merci de bien vouloir m’expliquer qu’elle est la difference? Cdt.

  22. Avatar de pamelaarnaud pamelaarnaud dit :

    L’infiltration ne ma rien fait jattent que mon médecin pour faire irm je vous tien au courant je fairait le test que vous me proposer
    Si c’est ce que vous dite est ce operable merci pour votre aide

  23. Avatar de pamela pamela dit :

    Bonjour cela fait un mois que je suis en arrêt causse disjonction acromio claviculaire radio montre rien alarmant sauf déplacement légère tête de l’épaule
    Avec touche piano qui a disparu je suis toujour avec attelle on ma fait échographie tendon et ligament rien et je peut bouger mon bras mais je peut pas laisser longtemps mouvement exemple faire la vaisselle douleur éplucher les légumes mal faire ordi mal je n’en peut plus car douleur matin jusqu’au soir impossible dormir pour reprendre le travail impossible ménage et auto entrepreneur aussi je sais plus quoi faire mon médecin non plus sauf cas recour irm sachant que j’ai fait infiltration qui ma rien fait pouvez vous m’aider sa donne douleur sur toute épaule et tete de épaule avec lourdeur sensation merci pour votre aide

    • Deux choses :
      — comment a été faite l’infiltration ? Y a-t-il eu un résultat (même minime, même temporaire) ?
      — à ce genre de traumatisme s’ajoute souvent une bursite traumatique : à voir et à tester : <a href= »https://orthopedie-pour-tous-vos-douleurs.com/bursite-de-lepaule/ » target= »_blank »>BURSITE (voir quelques tests que vous pouvez réaliser vous-mêmes)

      Yves

  24. bonsoir,voilà je souffre d’une épaule avec épaule dégénérative avec probable rupture ancienne de la coiffe avec disparition de l’espace sous-acromial en plus remaniement également dégénératif de l’articulation acromio-claviculaire devrais je etre opéré ça ma fait énormément souffrir,merci beaucoup de me répondre.Nadine

    • Bonjour,
      Vous me donnez vraiment peu d’éléments.
      Cependant, je peux vous dire que — même quand les images techniques sont « mauvaises — je peux vous dire qu’un bon praticien peut TOUJOURS se débrouiller pour aider le patient. Et de deux façons : 1. Il doit faire ce que vous ne pourriez faire 2 : Vous donner les moyens de “composer” avec les pathologies de votre épaule (tenter de retrouver l’essentiel du mouvement naturel de l’épaule : https://orthopedie-pour-tous-vos-douleurs.com/epaule-nouveautes/

      Cordialement

      Yves

  25. Avatar de Amine Amine dit :

    Bonjour à tous je viens vous poser une question suite à une douleur à l épaule on a descelle une arthrose acromio claviculaire j ai fais une infiltration il y a 12 jours la douleur s est largement atténué mais comme je travail dans le bâtiment set drogue de sport j ai senti un légère douleur en mettant de la force sur mon brase j aurais aime savoir le temps qu il fait après une infiltration pour savoir si on est guéri âge 27 ans merci d avance

  26. Avatar de dewilde dewilde dit :

    Bonjour, j’ai des douleurs au niveau de la clavicule droite avec un point plus douloureux quand je tire l’épaule vers l’arrière. Cela a commencé il y a un an. J’ai eu une IRM osseuse qui n’a rien donné de particulier comme résultats … qu’en pensez-vous ? Merci d’avance

  27. Avatar de Fabrice Meriochaud Fabrice Meriochaud dit :

    Bonjour,

    Le 7 mars 2015 : chute de vtt direction les urgences : verdict entorse acromioclaviculaire.
    Une semaine de douleurs intenses et après quatre consulations le verdict tombe: pour les chirurgiens c’est une disjonction stade 3 : opération urgente dans les 10 jours (tight rope) pour le premier , les trois autre me recommandent de ne pas opérer, ce que je fait.
    J’ai fait des radios, echo et irm.

    L’echo dit : épiphyse distale de la clavicule ascensionnée avec persistance d’une partie des surfaces articulaires qui reste en regard l’une de l’autre.
    La synoviale articulaire est nettement épaissie, siège d’un leger épanchement, hyperhémiée.
    Le ligament acromio claviculaire supérieur est épaissi mais reste globalement continu homis au niveau des fibres antérieures de son insertion acromiale.
    Le ligament coraco claviculaire est quant a lui rompu, discontinu, siège d’un hématome hypoéchogène liquidien médian.

    L’irm dit : pas de décalage acromio claviculaire décelable;Hypersignal T2 au sein de cette articulation témoignant d’un probable traumatisme (tu parles…)
    Intégrité des tendons et des muscles de la coiffe.
    Quelques hypersignaux sont visibles au niveau de l’extrémité supérieure de l’humérus en regard de l’insertion du tendon supra épineux, ils peuvent correspondre à des stigmates d’un conflit mais sans risque de rupture (bursite selon un autre radiologue a qui j’ai montré l’examen).
    Pas d’épanchement au sein de l’articulation scapulo humérale.Pas de solution de continuité osseuse évidente.

    Aujourd’hui : 6 semaines après la chute :

    13 séances de kiné electrostimulation antalgique, ultras sons exercices de renforcement des fixateurs de la scapula et de la chape delto trapézienne.
    Cure de paracetamol quotidienne et 10 jours d’AINS alternés avec des patchs de flector tissugel.
    J’ai une belle bosse d’un centimètre sur l’épaule, des douleurs nocturnes qui me réveillent, et depuis quelques jours des douleurs qui partent de l’épaule suivent le biceps et finissent par le poignet!.
    Dois-je prendre rendez-vous avec un rhumatologue?, reprendre des anti inflammatoires?, ou patienter encore des mois que les douleurs disparaissent comme me le préconise les chirurgiens que j’ai recontacté depuis? et si cela ne passe pas il y a un qui me ferait bien une ligamentoplastie sous arthroscopie…

    Etant trés actif je n’ai porté l’atelle que quelques jours au début et je me suis arrêté de travaillé une semaine, cette septième semaine sera la deuxième pause.

    Merci

  28. Avatar de patricia patricia dit :

    Bonjour, après 40 séances de kiné et 3 infiltrations j ai eu un arthroscaner car les douleurs ne passe pas et je manque de force dans le bras droit .pouvez vous me dire ce que cela veut dire et quel traitement je vais avoir car je vois mon médecin dans plus d’un mois et je m inquiète des résultats de mon arthroscaner qui sont :
    -Microfissurations de la coiffe au niveau du tendon supra épineux en distal et antérieure sans rupture transfixiantes .
    -enthesopathie du supra épineux avec géodes sous corticales.
    -chondropathie débutante de la tête humérale avec réduction de l épaisseur du cartilage au pole supérieur. Merci beaucoup de votre réponse.

    • Après 40 séances de kiné
      – pour quel diagnostic ? quel traitement ?

      et 3 infiltrations
      – où ? quelle hypothèse ? quel produit ? quel effet ?

      J’ai eu un arthroscanner, car les douleurs ne passent pas
      – dans quelle zone ?

      Et je manque de force dans le bras droit.
      – dans quels mouvements ?

      Pouvez-vous me dire ce que cela veut dire et quel traitement je vais avoir, car je vois mon médecin dans plus d’un mois et je m’inquiète des résultats de mon arthroscanner qui sont :
      — Microfissurations de la coiffe au niveau du tendon supra épineux en distal et antérieure sans rupture transfixiante.
      — enthésopathie du supra épineux avec géodes sous corticales.
      — chondropathie débutante de la tête humérale avec réduction de l’épaisseur du cartilage au pole supérieur.

      Ces constatations n’ont rien d’exceptionnel. Il faudrait donc comparer le tableau douloureux à l’examen clinique, savoir quelle infiltration vous avez eue et pourquoi. Le manque de force peut être d’origine neurologique, mais aussi causée par la douleur.
      On peut poser beaucoup d’hypothèses à distance…
      Il ne faut jamais imaginer que les examens techniques disent tout ou suffisamment pour traiter correctement les douleurs.
      De plus, on ne trouve que ce qu’on cherche.
      Que donne le test en fin de ce post :
      https://orthopedie-pour-tous-vos-douleurs.com/bursite-de-lepaule/

      Voici les pistes auxquelles je pense.

      Cordialement

      Yves

  29. Avatar de Dabertina Dabertina dit :

    Bonsoir,
    Il y a environ un mois, je suis tombée dans ma salle de bain en glissant sur le carrelage: je suis tombée sur le côté gauche avec tout le poids de mon corps sur mon épaule. Je suis allée voir un ostéopathe car j’avais mal à l’épaule et je croyais avoir des contractures musculaires dans le dos. L’ostéo m’a expliqué que c’était dû à ma chute et m’a soulagé en me manipulant. Mais la douleur revient et en plus j’ai un point dans le dos (sur les omoplates) qui me lance, comme des décharges électriques. Qui dois-je aller voir pour avoir un diagnostic ?? quel médecin ou spécialiste ?? Je vous remercie d’avance pour votre aide.
    Bien cordialement,
    Dabertina

    • Bonsoir,

      Malheureusement, « contractures » dans le dos ne constitue pas un diagnostic, mais une constatation que tout le monde peut faire. La question serait de savoir ce que cachent ces « contractures »… Entorses, fissures osseuses, fractures, trouble discal, etc.
      Il faudrait évidemment consulter un médecin pour reprendre la réflexion à partir de ce moment crucial : le traumatisme.

      Cordialement
      Yves

  30. Avatar de Marie Marie dit :

    Bonsoir Yves,

    Pas d’amélioration suite aux infiltrations dans les bourses séreuses des l’épaules ( 2 de chaque côté). Une opération est prévue en février afin de limer les becs osseux responsables des conflits + bursectomie.

    Le chirurgien m’a bien expliqué que les tendons étant fragilisés, l’intervention ne me garantit pas une rupture des tendons dans les mois ou les années futures.

    Alors pourquoi opérer ?

    Cdt, Marie

    • Pas d’amélioration suite aux infiltrations dans les bourses séreuses des épaules (2 de chaque côté).
      Dont acte

      Une opération est prévue en février afin de limer les becs osseux responsables des conflits + bursectomie.
      Cela semble cohérent

      Le chirurgien m’a bien expliqué que les tendons étant fragilisés, l’intervention ne me garantit pas une rupture des tendons dans les mois ou les années futures.
      Alors, pourquoi opérer ?
      Une fois de plus, il faut constater que le dialogue est essentiel au patient… Il faut opérer pour deux raisons : 1. diminuer (voire éliminer) vos douleurs et 2. pour jouer sur ce qui accentue le conflit dans une articulation qui est naturellement « en conflit » (mécanique).
      Mais : la première cause de « dégradation, de dégénérescence » des tendons de l’épaule, c’est l’âge. Ces fameuses « tendinites » sont en réalité des dégradations des tendons nobles de l’épaule, inévitables. Cependant, si elles sont inévitables, ce n’est pas pour cela qu’il ne faut pas réduire les causes de conflit qui peuvent causer des ruptures et ce n’est pas parce qu’elles sont inévitables qu’on en souffre (même quand il y a rupture). Il a été démontré qu’il n’y avait pas de rapport prévisible entre la dégradation de ces tendons et la douleur. Pour preuve, toutes les personnes âgées ont des tendons de l’épaule très dégradés (études cadavériques), mais très peu en souffrent. C’est d’ailleurs ce qui arrive pour d’autres pathologies comme l’arthrose.
      Bref, faites-vous opérer. Vous en tirerez certainement des bénéfices. Quant au futur lointain, vous verrez. Personne n’en est vraiment maître.

      Yves

      • Avatar de Marie Marie dit :

        Bonsoir et merci pour vos explications claires et précises, je suis un peu plus rassurée.
        (Malgré mon insistance, le chirurgien n’avait pas le temps de m’expliquer, la salle d’attente était bondée !)

        Bon weekend,
        Marie

  31. Avatar de voyageuse voyageuse dit :

    Bonjour,

    Je suis une femme 33 ans, voyageant beaucoup en avion, travaillant de longues heures sur ordinateur, droitière.

    J’ai des douleurs persistantes à l’épaule dont voici l’historique, y compris les consultations/traitements qui j’ai eus:

    – Il y a 3 ans, des douleurs à l’épaule surtout lorsque j’enlève un t-shirt, pull, soutien-gorge qui deviennent des gestes extremement douloureux. Mon généraliste m’envoit faire une radio et écho qui sont négatives. Une immobilisation en écharpe quelques jours le soir en rentrant du bureau pendant suffit à faire disparaitre la douleur.

    – Début juillet de cette année, lors d’un déplacement professionnel (arrivée en avion quelques jours avant) les mêmes douleurs sont revenues (sans raison apparente, i.e. pas de choc, chute, sport): enlever un t-shirt, enfiler une manche, lever le bras, etc. deviennent extremement douloureux; dormir avec le bras sous la tete, me retourner dans mon lit en prenant appui sur mon coude aussi. Après 2-3 jours, ne trouvant même plus de position assise au repos confortable, je vais voir un ostéopathe qui me manipule les « soft tissues » et me parle de mauvaise posture (notamment à l’ordinateur), de muscles avants à étirer et muscles arrières à renforcer.

    – En rentrant chez moi, je refais 2 séances d’ostéo, la douleur disparait. Sa théorie à lui est une capsulite suite à un traumatisme lié à un bagage (trop) lourd lors de mon déplacement. Je change également de chaise de bureau et dote mon laptop d’un écran et clavier desktop.

    – Début aout (2 semaines plus tard), nouveau déplacement professionnel, la douleur revient, je tente de limiter les mouvements, charges, etc. avec une écharpe, ça passe.

    – Fin aout en rentrant je vais tout de même voir mon généraliste pour un diagnostic plus précis. Il me prescrit radio et écho. (Je voyage encore entre la visite chez le généraliste et la radio/écho). La radio est normale, l’écho montre une entorse acromio-claviculaire. Il me prescrit 10 séances de kiné (ultra sons et mobilisation/rééducation) à raison de 2 par semaines. Elles n’ont qu’un effet limité: je retrouve la mobilité, puis la reperds (coude à hauteur d’épaule/oreille); la kiné les couple donc à des massages de la nuque et du dos pensant à un lien; elle me conseille également la natation, qui ravive la douleur. Je combine avec des courtes immobilisations (1-2h quand la douleur devient trop vive en travaillant), j’arrête de conduire, de porter quoique ce soit. Les séances de kiné correspondent à une période (mois de septembre) de 3 semaines extrèmement chargées professionnellement, avec 70h de travail par semaine sur ordinateur, suivie d’une semaine de repos de récupération, dont je profite pour reposer un maximum mon épaule aussi, sans résultat concluant. En octobre, sur conseil de l’ostéopathe que je retourne voir en désespoir de cause (et qui ne me manipule pas) je laisse « cicatriser » mon épaule, la douleur va et vient sans cause apparente.

    – Début novembre, je revoyage, la douleur revient, extrêmement aigue: mêmes symptômes qu’en juillet, y compris douleur au repos. Pour des raisons personnelles (et par épuisement), j’ai besoin de la faire disparaitre rapidement. Je vois donc kiné/ostéo qui me parlent de capsulite (lié à la position assise de l’avion), ou de conflit antérieur (avec possiblement début d’arthrose) à contre-vérifier avec un orthopédiste. Celui que je vois est chirurgien et me diagnose très rapidement (en m’écoutant à peine) une inflammation acromio-claviculaire; il me fait immédiatement 2 infiltrations à base de cortisone (une dans l’acromio-claviculaire et une sous-acromiale (?)). Cette visite me laisse perplexe, et bien qu’après 4 jours les douleurs vives ont disparu, les douleurs plus sourdes et les limitations de mouvements subsistent, alors que je dois revoyager vers une zone où les soins de santé sont limités. Je retourne donc voir mon généraliste qui me dirige vers une autre orthopédiste qui confirme le diagnostique acromio-claviculaire, et qui me dit que même s’il n’est pas normal que les douleurs n’aient pas disparu, cela n’est pas non plus anormal, et pourrait encore durer 2-3 mois. Elle m’a seulement conseillé de ne rien porter, y compris portes lourdes, d’étirer mon bras/épaule régulièrement, même si cela me fait mal, et d’éviter de me reposer sur mes coudes/épaules (style exercices de pompes), éviter les air conditionnés directs.

    Je suis donc maintenant dans un endroit aux soins de santé limités (accès à kiné/ostéo, radio/écho, mais probablement pas de spécialistes) pour 6 mois, avec de futurs voyages prévus, et des douleurs qui persistent (en va-et-vient).

    C’est pourquoi j’aurais apprécié recevoir votre avis sur le(s) diagnostic(s) posé(s), et surtout avoir vos pistes d’attitudes à adopter au quotidien (immobilisation, exercices, stretching, conduite de véhicule et frein à main, portières lourdes, utilisation d’ordinateurs, bagages, etc.) et de solution à long terme (que ce soit des exercices, acupuncture, opération tel que suggéré par le 1er orthopédiste que j’ai vu).

    Grand merci d’avance!

  32. Avatar de jeremy jeremy dit :

    Bonjour j’ai effectué une infiltration radioguidée au niveau de l’articulation acromio claviculaire faut il du temps pour avoir du résultat car 24h après l’infiltration toujours des douleurs :-/ :-/

  33. Avatar de Charlie Charlie dit :

    Bonjour, je vous écris ce message pour avoir quelques informations/conseils sur mon problème à l’épaule droite que je traîne maintenant depuis 1 an sans amélioration. Je ne sais plus quoi faire et ça me rend fou, j’ai l’impression que j’ai cette douleur depuis toujours et rien n’y fait pour qu’elle s’en aille.
    Tout d’abord, j’ai 23 ans et jusqu’au mois d’avril 2013 je faisais beaucoup de sport (Boxe). Puis j’ai du arrêter pour une tendinite du bras gauche (coude). Une fois rétabli, je reprend l’entraînement en septembre 2014 pour une nouvelle saison. Seulement, dès le mois d’octobre j’appuie un peu trop mes enchaînements sur le sac de frappe, notamment le crochet du bras droit. Au moment de faire les abdos, une douleur à l’épaule (épaule droite) apparaît, le soir elle s’accentue, et le lendemain me fait très mal lorsque je fais des mouvements anodins (enlever mes chaussettes). Je ne le sais pas encore mais cette douleur va me gâcher toute la saison et aussi mon année universitaire.
    Une semaine après j’ai toujours mal, je crois alors que c’est une tendinite et je vais voir mon médecin généraliste pour qu’il me prescrive des anti inflammatoires et qu’il me permette de faire des séances de kiné.
    De Octobre à avril je ferais de la kiné SANS AUCUNE amélioration (il en va de même pour les AINS).

    Je vais (avant de reprendre mon histoire) vous décrire les douleurs que je ressens: je ressens donc une douleur lorsque j’appuie sur l’épaule (entre la clavicule et l’acromion, comme un bleu perpétuel qui ne s’en va pas. J’ai également mal lorsque je met ma main dans le dos et que je la lève pour essayer d’aller le plus haut possible. J’ai de plus mal lorsque je suis en position allongée et que je mime de faire un exercice de développé couché. Et enfin lorsque, en position debout, je met les épaules en arrière et j’essaye de les rapprocher au maximum.

    (Après le kiné) Je décide de consulter un médecin du sport (sur le conseil d’un ami). De là je fais: une échographie, on me dit que j’ai une bursite sous acromio deltoïdienne, trois séances de mésothérapie, ça atténue une semaine la douleur qui revient inlassablement.
    Je décide donc (je n’ai plus aucun espoir à ce moment), de prendre rendez vous avec un rhumatologue. Il m’examine et pour la première fois je me sens écouté, il repère tout de suite que certes j’ai une bursite sous acromiale, mais que j’ai surtout une souffrance acromio claviculaire. Il décide de m’infiltrer à la surface de l’épaule (c’était le 7 juillet) entre l’acromion et la clavicule. Après l’infiltration, la douleur augmente puis s’apaise, j’ai moins mal, mais depuis 2 jours, retour au point de départ. Je ne sais plus quoi faire, j’ai (sur conseil de mon rhumato) pris rendez vous pour une IRM le 11 septembre, et je revois ce rhumato le 12.

    Voici quelques questions que je me pose:

    J’ai tendance à tout le temps tester si la douleur est toujours là ou non, même après les quelques jours qui ont suivit l’infiltration. Ne croyez vous pas que j’ai pu « annuler » le processus à force de tout le temps tâter si la douleur est encore présente ?
    J’ai lu que pour une infiltration le produit mettait une semaine pour progressivement se propager, Est-ce vrai ? Je dois en déduire que pour mon cas ça n’a pas marché ? Mon rhumato m’a dit que au bout d’une semaine la douleur devait s’en aller, et que mon problème n’était pas opérable (intervention chirurgicale). Combien d’infiltration peut-il me proposer ? ET si ça ne passe pas que me restera-t-il pour que enfin je puisse retrouver une épaule sans souffrance ?

    Sans le sport je suis très déprimé, je n’ai qu’une envie c’est de reprendre l’entrainement le plus vite possible. A la place je tourne en rond et j’appui sur mon épaule, je met les épaules en arrière etc. et lorsque je sens qu’elle est toujours présente je m’énerve et mon moral est vraiment au plus bas.

    En attendant votre avis.

    • Avatar de orthopedie pour tous orthopedie dit :

      Seulement, dès le mois d’octobre j’appuie un peu trop mes enchaînements sur le sac de frappe, notamment le crochet du bras droit.
      Si douleurs à l’épaule : elle peut correspondre à la bursite qu’on a vue à l’échographie, d’après ce que vous dites
      Au moment de faire les abdos, une douleur à l’épaule (épaule droite) apparaît, le soir elle s’accentue, et le lendemain me fait très mal lorsque je fais des mouvements anodins (enlever mes chaussettes). Je ne le sais pas encore, mais cette douleur va me gâcher toute la saison et aussi mon année universitaire.
      Cette douleur ne fait pas penser à l’épaule, mais à un « trouble » cervical » à déterminer. Attention : on ne met pas en évidence un « trouble » cervical d’abord par des examens comme un scanner, mais par un examen clinique : Exemple pour l’épaule : https://www.youtube.com/watch?v=bCtj50u3NZ0
      Je vais (avant de reprendre mon histoire) vous décrire les douleurs que je ressens : je ressens donc une douleur lorsque j’appuie sur l’épaule (entre la clavicule et l’acromion), comme un bleu perpétuel qui ne s’en va pas. J’ai également mal lorsque je met ma main dans le dos et que je la lève pour essayer d’aller le plus haut possible. J’ai de plus mal lorsque je suis en position allongée et que je mime de faire un exercice de développé couché. Et enfin lorsque, en position debout, je mets les épaules en arrière et j’essaye de les rapprocher au maximum.
      « Cela pourrait donc être « cervical », voire « dorsal » (trouble disco-dure-mérien) :  : https://orthopedie.wordpress.com/cervicalgies_1_le-piege/
      (Après le kiné) je décide de consulter un médecin du sport (sur le conseil d’un ami). De là je fais : une échographie, on me dit que j’ai une bursite sous acromio deltoïdienne, trois séances de mésothérapie : ne sert en général à rien.
      Je décide donc (je n’ai plus aucun espoir à ce moment) de prendre rendez-vous avec un rhumatologue. Il m’examine et pour la première fois je me sens écouté, il repère tout de suite que certes j’ai une bursite sous acromiale, mais que j’ai surtout une souffrance acromio-claviculaire. Il décide de m’infiltrer à la surface de l’épaule (c’était le 7 juillet) entre l’acromion et la clavicule.
      Une infiltration AC n’est jamais en surface, mais dans l’articulation.
      Après l’infiltration, la douleur augmente puis s’apaise, j’ai moins mal, mais depuis 2 jours, retour au point de départ. Je ne sais plus quoi faire, j’ai (sur conseil de mon rhumato) pris rendez-vous pour une IRM : A LA RECHERCHE DE QUOI ? Sans hypothèse, la plupart des examens techniques ne servent à rien !!!
      Attention aux procédures :
      Si l’infiltration AC vous aide, il faut vous reposer pendant 15 jours, puis il faut vous réexaminer et, si les tests révèlent quelque chose (même si vous ne sentez plus rien dans la vie de tous les jours) il faut infiltrer à nouveau.
      Si la deuxième ne vous aide pas, il faut penser à procéder de même avec la bourse sous-acromio-deltoidïenne (structure très proche de l’AC).

      Voici quelques questions que je me pose :
      J’ai tendance à tout le temps tester si la douleur est toujours là ou non, même après les quelques jours qui ont suivi l’infiltration. C’est fréquent, mais inutile voir toxique.
      Ne croyez-vous pas que j’ai pu « annuler » le processus à force de tout le temps tâter si la douleur est encore présente ?
      J’ai lu que pour une infiltration le produit mettait une semaine pour progressivement se propager. Est-ce vrai ? Je dois en déduire que pour mon cas ça n’a pas marché ? Mon rhumato m’a dit qu’au bout d’une semaine la douleur devait s’en aller, et que mon problème n’était pas opérable (intervention chirurgicale). Combien d’infiltration peut-il me proposer ? ET si ça ne passe pas que me restera-t-il pour qu’enfin je puisse retrouver une épaule sans souffrance ?
      Il faut procéder par ordre comme je l’ai dit plus haut :
      Acromio-claviculaire ???
      Bourse SAD ???
      Cervicale ???
      Dorsale ???


      Yves

      • Avatar de Charlie Charlie dit :

        Merci de votre message. J’ai effectivement été infiltré dans l’articulation. Comme je l’ai dit, je revois mon rumatho le 12 septembre, il est en vacances en ce moment. Quel spécialiste me conseillez vous de voir en attendant, un osthéo pour qu’il me remette ce qu’il faut en place ? Cette histoire de problème cervical ou dorsal est étrange, je pourrais avoir mal dans un point précis de l’épaule sans que ce point soit en réalité le siège du problème ?
        Je suis de nature vouté (je suis maigre pour ma taille, je boxes des boxeurs plus petit que moi), le kiné que j’ai vu m’a dit que mon dos était dans un sale état, d’où selon lui les nombreuses séances qu’il m’a fait. Il m’a craqué de partout, bras nuque, dos, etc. TOUT ! Et cette douleur, cette malédiction ne m’a jamais quitté. A noter que dans ma famille le dos c’est sensible, ma mère a eu de très graves problèmes à ce niveau. Je compte bien faire tout ce qu’il faut pour vérifier s’il y a, ou non un problème à ce niveau, (radio du dos ? De la nuque ?)
        Concernant ma bursite, le rhumatologue m’a dit qu’elle était superficielle et qu’elle n’était pas selon lui à l’origine des douleurs (il s’est basé sur l’échographie du médecin du sport), mais il m’a quand même demandé de faire une IRM, sans trop me l’expliquer, il pensait vraiment que une infiltration suffirait, mais que si cela ne passait pas je devait de nouveau le voir. Cependant, comme vous le dites, infiltrer cette bursite ne paraît pas être une mauvaise idée puisqu’elle est là et bien là !

        Petites questions:
        Je passe mes journées à cliquer avec ma souris d’ordinateur, est-ce néfaste dans mon cas ?
        Ayant attendu seulement une semaine avant de tirailler mon bras dans tous les sens, et tester la douleur, j’ai pu annuler l’effet de la cortisone ? Ou bien une deuxième infiltration vous paraissez-t-elle inévitable ?

        Je vous remercie encore de prendre le temps de me lire et de m’aider.

  34. Avatar de kneo kneo dit :

    Bonjour,

    Je pense avoir ce problème depuis quelques semaines, qui est apparu lors d’une séance de musculation. J’ai une boule sur l’acromion, j’imagine donc qu’il est enflammé. Mon médecin traitant ma prescrit une radio où l’on ne voit rien apparemment.

    J’ai vu un ostéo la semaine dernière qui m’a dit que mon médecin était un branque et qu’on voit très bien un déplacement de l’épaule (par rapport au cintre). Il m’a donc selon lui remis l’épaule en place. Une semaine après j’ai toujours cette boule et une douleur lors de mouvements comme sur les photos ci-dessus. Mon médecin traitant m’a prescrit une visite chez un orthopédiste. Mais c’est dans 15 jours :O Est-ce que le fait de vivre avec ca plusieurs jours ne va pas aggraver la chose? Dois-je aller au urgences?

    Avez vous un avis?

    Merci

    • Avatar de orthopedie pour tous orthopedie dit :

      Monsieur,
      « un déplacement de l’épaule (par rapport au cintre). Il m’a donc selon lui remis l’épaule en place ». C’est tout nouveau… L’épaule aurait donc « une » place !!! Ça vient de sortir cette blague ??? Les ostéopathes disparaissent dans le pays dans lequel naquit Still qui « reçut » l’ostéopathie par « illumination ». Il serait temps de dire la vérité : https://orthopedie.wordpress.com/osteopathie-le-realisme-necessaire/
      Ni votre médecin ni l’ostéopathe ne vous ont donné de diagnostic. Sans diagnostic : pas de traitement.
      Une « boule » sur l’acromion peut faire penser à une arthrite (traumatique ou micro-traumatique) de l’articulation acromio-claviculaire. Dans ce cas, la radio ne montre rien. L’échographie pourrait montrer quelque chose, mais l’essentiel devrait se trouver dans l’examen clinique : https://www.youtube.com/watch?v=bCtj50u3NZ0
      La douleur devrait être reproduite (au niveau de l’acromion) en rotation interne passive et en adduction à l’horizontale.
      Le traitement (s’il s’agit d’une arthrite) = infiltration + 15 jours de repos + test après 15 jours chez celui qui a examiné Et infiltré (qui devrait être la même personne).
      Sachez aussi que les orthopédistes sont des chirurgiens. Ils ne se posent qu’une question : faut-il opérer ? S’il ne le faut pas, ils vous renvoient en général chez vous sans piste.
      Au plaisir.
      Yves

  35. Avatar de Maryline Maryline dit :

    La douleur augment en fonction de la température extérieur, plus la météo est mauvaise plus les douleurs s’intensifie a plus de 10/10 sur l’échelle de la douleur.

    La douleur diminue légèrement au repos de la tête, soit allongé dans un lit et avec de la chaleur.

    Les mouvements répétitifs et le soulèvement de charge accentue la douleur du bras, de l’épaule et du coup et la tête.

    Allonger, je sens la douleur au rythme des battements du cœur dans l’épaule, au toilette et certaine fois quand je tousse.

    j’ai une intolérance au anti-inflammatoire, trop d’effet secondaire pour en prendre. J’ai tenté vimovo qui a été le seule a donner des résultat sur l’inflammation mais au prix de mon estomac(inflammation du tube digestif et reflux gastrique) Celebrex aucun résultat, effet secondaire j’ai eu la bouche entièrement bruler avec ce médicament. Aucune autre tentative n,a été tenté par la suite avec ce genre de médicament. On m’a déjà suggéré Empracet mais c’est hors de question car je ne tolère pas ce médicament.

    Zone de douleur C5 C6 C8

    • Avatar de Docteur Tutut Docteur Tutut dit :

      Je déterre mais au cas ou vous repassiez, ou que ça parle à d’autres dans la même situation… La douleur au rythme des battements du coeur.. Ca, plus ce que vous expliquez dans vos autres post, douleur mal systematisées, les maux de tete, la lutte avec les anti-douleurs et les anti inflammatoires, l’irradiation dans le bras et la main… conflit acromio-claviculaire et tendinopathie… Avez vous creusé avec votre médecin la piste du defilé costo claviculaire (vasculaire) ou d’un autre defilé cervico thoraco brachial ?

  36. Avatar de Maryline Maryline dit :

    Voila,

    J’ai commencer a avoir des douleur a l’épaule droite avec une irradiation de l’inflammation dans tout le bras droite, enflure et perte de sensation(de la main jusqu’au coude et parfois jusqu’à l’épaule), crampes dans les jointure des doigts. De plus l’inflammation irradie jusque dans la tête.
    Arret de travail depuis janvier 2013.

    Apres IRM cervical et acromial, le diagnostique est tombé.
    Syndrome accrochement tendinite et bursite et acromio type1(Un autre Orthopédiste dit qu’il est type 2 et le radiologiste dit type 1) avec hyper-laxité.

    J’ai déjà reçu 2 infiltrations dans l’épaule et aucune amélioration depuis.

    L’accrochement est de plus en plus fréquent et plusieurs mois de Physiothérapie n’ont rien arrangés.

    La cortisone me crée des problèmes au niveau des yeux (je soupçonne que ce soit la cortisone)vision double et voilé ou obscurcie depuis.

    Visite d’urgence avec un ophtalmologiste et rien, la réactivité de l’œil est bonne et pas de cataracte.

    Une possible visite avec un optométriste semble être approprié car je suis myope, mais les troubles sont trop soudain pour devoir changer de lunette.

    Mon orthopédiste ne veut pas opéré car pour lui je suis trop jeune, femme de 39 ans.

    Un retour au travail a été tenté, un échec cuisant sur toute la ligne et retour au point de départ après 2 jours de travail. Demerol et de la morphine m’ont été prescrit a nouveau.

    Les anti-inflammatoire ne fonctionne pas, intolérance a ces analgésiques.

    Que faire après tout ça?

    Je vais voir un autre orthopédiste en février 2014 que j’ai déjà consulter, espérons que l’opération n’est plus très loin car je souffre toujours autant qu’en janvier dernier.

    Merci de votre réponse

    • Avatar de orthopedie pour tous orthopedie dit :

      Bonjour,
      Première notion : un problème d’épaule ne « projette » pas de douleurs jusque dans les mains.
      Deux : les examens ont montré une « déviation » par rapport à la normale. Cela ne veut pas dire qu’il s’agisse d’une pathologie. Et cela ne veut pas dire non plus que cela soit la cause de vos douleurs.
      Trois : a priori en vous lisant on pense à une névralgie cervico-brachiale (d’origine cervicale le plus souvent).
      Pourriez-vous me dire :
      -si vos douleurs peuvent augmenter en fonction des mouvements ou de la position de votre cou (tête)
      -si vos douleurs augmentent si vous toussez, si vous éternuez, si vous faites un effort de poussée (à la toilette par exemple)
      Pourriez-vous me dire si vos douleurs sont soulagées par des anti-inflammatoires (si oui : lesquels)
      Pourriez-vous bien regarder la carte des dermatomes sur le lien suivant https://orthopedie.wordpress.com/dermatomes/et me dire quel territoire (quelle couleur) correspond le mieux à votre douleur (il pourrait y en avoir deux).
      Yves

    • Avatar de Maryline Maryline dit :

      rapport d’expertise orthopédique

      RADIOGRAPHIES ET EXAMENS COMPLÉMENTAIRES :
      Nous avons revu l’ensemble des bilans radiologiques.
      La radiographie simple de la colonne cervicale et l’IRM sont strictement normales.
      Pour la radiographie simple de l’épaule droite, il n’y a pas d’arthrose acromio-claviculaire significative. Il y a présence d’un acromion type II, calcifications intra-osseuses à la tête humérale.
      En ce qui concerne la résonance magnétique, cette dernière est interprétée sous réserve de l’interprétation du radiologiste et considérant le fait qu’il s’agit d’une résonance magnétique sans injection, il n’y a pas d’évidence de rupture complète de la coiffe des rotateurs. Notons un aspect de tendinopathie qui nous apparaît être surtout aux dépens du sus-épineux et une certaine irrégularité du labrum, mais nous ne pouvons affirmer s’il y a ou non déchirure du labrum.

      CONCLUSION ET RÉSUMÉ :
      Il s’agit donc d’une femme âgée de 39 ans, droitière, qui présente depuis plus d’un an des symptômes au niveau du membre supérieur qui se sont initialement manifestés par des paresthésies à la main et au bras, puis clairement des symptômes douloureux et accrochage à l’épaule droite.
      À l’examen clinique, il y a des signes compatibles avec une tendinopathie de la coiffe des rotateurs et abutement sous-acromial, sans évidence de rupture complète de la coiffe des rotateurs, mais avec tout de même une faiblesse relative du sous-scapulaire.
      Aucun traitement, en dehors de physiothérapie, n’a été réalisé et Madame est en attente d’une infiltration.
      Le bilan d’investigation jusqu’à présent s’est avéré négatif. Il manque toutefois au dossier le rapport du radiologiste concernant la résonance magnétique qui, à première vue selon notre interprétation, ne démontre pas de déchirure massive de la coiffe des rotateurs.

      Quels sont les diagnostics à retenir?

      Tendinopathie coiffe des rotateurs avec abutement sous-acromial.

      Madame présente un acromion type II et une condition de tendinopathie dégénérative en relation d’abord avec l’âge. Par ailleurs, Madame présente une hyperlaxité de l’épaule droite qui est un facteur de risque secondaire pour les tendinopathies d’abutement avec abutement interne.

      Quelles sont vos conclusions?

      Il s’agit donc d’une femme âgée de 39 ans présentant une hyperlaxité de l’épaule droite et apparition progressive de symptômes douloureux à l’épaule droite et examen clinique ce jour compatible avec une tendinopathie, abutement et légère faiblesse du sous-scapulaire.
      Il n’y a pas eu d’événement traumatique (faux mouvement, chute, etc.) et Madame présente une condition personnelle qui représente un facteur de risque significatif pour l’apparition de tendinopathie, laxité, tendinopathie dégénérative, mais pas de facteurs de risque significatifs reconnus présents sur son lieu de travail en dehors de mouvements de rotation qu’elle peut avoir à réaliser dans ses activités de nettoyage, et pas d’activités avec les bras au-delà des 70 à 90 degrés d’élévation et d’abduction de façon répétée.
      Elle présente une tendinopathie de la coiffe des rotateurs qui évolue de façon plus aiguë depuis six mois pour laquelle il n’y a pas encore eu de tentative d’infiltration. Nous pensons qu’il est pertinent de la soumettre à au moins deux tentatives d’infiltration si la première venait à échouer. Et selon l’évolution, on envisagera un traitement chirurgical. Le tout également est sous toutes réserves de l’interprétation du radiologiste, en particulier concernant une atteinte éventuelle dégénérative du labrum qui pourrait orienter vers un traitement chirurgical plus rapide.

      • Avatar de orthopedie pour tous orthopedie dit :

        Bonsoir,

        J’avoue ma grande perplexité. Il n’y pas vraiment de concordance entre tous les éléments que vous me donnez. Particulièrement, je ne vois pas comment un conflit sous-acromial pourrait provoquer des paresthésies. Ni les territoires de vos douleurs qui ne sont pas corroborés par d’éventuels troubles cervicaux. De plus, vous êtes très jeune.
        Nous sommes donc aux limites de ce qu’on peut dire via Internet, car seul un examen complet de votre épaule et de votre cou (entre autres) pourrait, peut-être, me donner des idées.
        Donnez-moi de vos nouvelles. Cette situation m’interpelle.
        En vous relisant, je ne peux résister à l’envie de vous dire que votre cervicale y est sans doute pour quelque chose même si les examens techniques n’ont rien montré (on ne voit pas encore tout aux examens techniques). Par ailleurs, puisque les anti-inflammatoires vous aident quand même un peu, pourquoi ne pas en reprendre avec un médicament protecteur de l’estomac pour faire un test d’au moins 7 jours ?
        Consultez les petits articles que j’ai écrits sur la colonne cervicale pour comprendre ce que vous ne pouvez pas faire et ce qu’on ne peut pas vous faire (traitement de physio, par ex.) : https://orthopedie.wordpress.com/cervicalgies/
        Au risque de me répéter, des problèmes mécaniques de l’épaule ne peuvent pas donner de douleurs dans la tête et, à ma connaissance, pas au-delà du poignet.
        Bien à vous
        Yves

  37. Avatar de Mélanie Deschênes Mélanie Deschênes dit :

    Bonjour,
    En physio et mon médecin généraliste me disent que j’ai une entorse acromio-claviculaire et le même diagnostic depuis 1 an. Aujourd’hui, un orthopédiste me dit que ce n’est pas une entorse mais un tendinite de l’épaule….

    Il a décidé de me faire une infiltration sur le champ…

    Je suis un peu sous le choc, tout c’est passé tellement vite avec cet orthopédiste que je n’ai même pas eu le temps de dire non, je veux comprendre….

    Bref, depuis l’injection, plus les heures avances et plus mon épaule est douloureuse. J’ai beaucoup de difficulté à la bouger sans sentir de douleur et je la sens très lourde. Est-ce normal?

    Malheureusement, l’orthopédiste à été tellement rapide qu’il m’a dit que j’aurais des biens faits dans 1 semaine environ mais ne m’a pas dit ce que je sentirais dans les heures suivant l’infiltration…

    Pouvez-vous me faire part de vos commentaires, SVP.
    Merci beaucoup
    Melanie

    • Avatar de orthopedie pour tous orthopedie dit :

      Bonjour,
      Comme souvent, tout se joue au niveau du diagnostic.
      Si acromio-claviculaire : https://orthopedie.wordpress.com/acromio-claviculaire/ + notion de traumatisme
      en ce qui concerne l’infiltration, il faudrait savoir quelle structure exacte a été infiltrée, quel produit, par où ?
      Peu importe l’infiltration, on peut avoir mal 24 à 48 h maximum.
      Au plaisir.

      Yves

      • Avatar de Apostoladelina Apostoladelina dit :

        Bonjour,j’ai très mal à l’épaule d’épis 4 moi.suite e une échographie on a vue que j’avais une bursite sous-acromio-deltoïdienne. Après un mois de physio j’ai encore très mal et certains gestes très handicapantes.je vien de passer un irm on vois la bursite encore et sur le rapport y a écrit,,remaniements dégénératifs de l’articulation acromio-claviculaire modérés,, .c’est quoi que je dois faire pour au moins calmer le douleurs handicapantes que j’ai même la nuit?

Laisser un commentaire