Depuis les années septante à intervalles réguliers les journaux martèlent : « Mal de dos, mal du siècle » et les livres qui relaient ou initient ce slogan voient leurs ventes exploser. L’homme de la rue acquiesce, puis il oublie, mais le slogan revient et il acquiesce à nouveau, car, comme souvent, une erreur (ou un mensonge) maintes fois répétée devient souvent une « vérité ».
À l’évidence, les vrais maux du 20° siècle furent le SIDA, le cancer, la malnutrition, les maladies cardio-vasculaires et tant d’autres, mais ce fameux dos semble de temps en temps, et temporairement essentiel ; sorte de trêve dans ce monde cruel, comme si l’homme n’avait jamais eu mal auparavant alors que l’histoire nous prouve le contraire et que le bon sens devrait nous inviter à négliger ces affirmations péremptoires, mais porteuses de part de marché (car il existe un commerce de la douleur).
Le « Mal de dos, mal du siècle » comme moyen régulier de nous trouver un mal commun et, par là, une identité d’humain touché par un même mal et presque prêt à se fédérer à partir de cette fragilité. Quelques semaines de partage et d’émotion sans violences extérieures, puis tout le monde oublie… Jusqu’au prochain coup médiatique !
Pourquoi donc tant d’intérêt pour ce mal si commun sur terre depuis la nuit des temps ? Serait-ce parce qu’il peut servir de paravent aux terribles fléaux que l’homme moderne doit encore affronter ou parce que les « douloureux du dos » sont négligés et mal soignés ? Peut-être les deux, mais je ne m’occuperai que de la deuxième hypothèse, car c’est une évidence : lorsque les pathologies mécaniques ne se résolvent pas seules (c’est le cas de beaucoup) les patients sont abandonnés aux idées les plus folles d’une foule de génies auto-proclamés.
Ces « génies » assurent pouvoir trouver, qui la lésion primaire (souvent la première cervicale) ou la façon de relancer le bon rythme du foie, qui la bonne occlusion ou la bonne semelle orthopédique, qui le bon rythme cranio-sacré ou le petit nerf immobile, qui l’aliment ou la couleur toxique… Certains prétendent « entendre » (et corriger) les rythmes de fluides tandis que d’autres assurent qu’ils peuvent relancer la bonne mécanique des fascias (structures que vous identifiez dans la viande comme étant des nerfs et que vous redoutez de manger.) Les fasciathérapeutes prétendent les mobiliser, les étirer, les rééquilibrer. VOIR ICI. D’autres seraient capables d’interroger la « mémoire du corps », celle-ci soufflant à l’oreille des kinésiologues, et autres magnétiseurs, le remède ou la cause des douleurs, des maladies et même des blocages psychologiques…

Depuis quelques décennies, certains hommes seraient donc capables de prodiges inconnus depuis la nuit des temps !
Une petite cure d’esprit critique : ICI
Ces « génies » ont pignon sur rue comme ce kiné qui devint ostéopathe en Angleterre, puis médecin en France avant d’être nommé rabbin et « d’inventer » dans la foulée « l’ostéopathie à distance » (y aurait-il un lien souterrain avec le vœu qu’il fit de ne plus toucher aucune autre femme que la sienne après être devenu rabbin ?). Et les adeptes accoururent en masse s’abreuver aux paroles de ce nouveau voyant-guérisseur dont plus personne n’entend parler aujourd’hui. D’autres « génies » lui ont emboîté le pas et « pratiquent » l’ostéopathie énergétique !!!
On assiste aussi aujourd’hui à un engouement remarquable pour les thérapies qui prétendent soigner en mobilisant les nerfs (techniques neuro-dynamiques)… Les kinés français ne parlent plus que de cela (ou presque) ! Wait and see
Je peux vous dire que je les ai vus à l’œuvre et que j’ai testé leurs prétendus « pouvoirs » pour résoudre mes propres douleurs ! Je me souviens de ces « génies » capables de tant de perceptions (relancer la bonne mobilité des os du crâne, bien que, s’ils bougent, leurs mouvements pourraient être de l’ordre du micron)… Je me souviens de ces « génies » sensibles au moindre frémissement dans le monde de l’infiniment petit, capables de sentir et de réguler le « subtil »… Paroles, paroles, paroles…
Mais j’ai vu ces « surhommes », ou leurs adeptes, incapables de palper l’articulation entre le 1° méta et le trapèze (à la base du pouce) qui mesure plus ou moins 1 cm cube.
Je les ai vus et je les ai d’abord crus malgré mes doutes (car ils se croient eux-mêmes et la douleur chronique nous rend plus crédules).
J’ai testé leur « pouvoir » et j’ai failli abandonner mes recherches pour me soulager (et soulager les autres, puisque c’est le métier auquel je suis arrivé par la force des choses).
J’ai failli abandonner, douloureux, déçu et amer.
Mais je me suis accroché !
« Il devait bien y avoir quelqu’un quelque part qui m’aiderait sans m’entraîner dans un monde magique, consolant, mais délirant ! », me disais-je. J’ai quitté l’ostéopathie, sa pseudo-philosophie vitaliste et j’ai retrouvé les Grecs anciens qui, comme Bergson le soulignait, agissaient en homme de pensée et pensaient en homme d’action. J’ai retrouvé les Grecs aspirant à une adéquation entre leurs pensées, leurs actions et le réel.
« Il n’y a pas d’autre monde… Le réel, il n’y a que le réel. »
« Et si le réel déçoit, il ne faut pas s’en attrister puisqu’il n’y a rien d’autre… »
La philosophie matérialiste ne cesse de le répéter depuis Épicure, Démocrite et Lucrèce.
Enfant de Platon, de Paul de Tarse, « j’ai cru » longtemps et les « génies » dont je viens de parler (mais il y en a encore beaucoup d’autres) se pâmaient de tant de soumission et d’admiration à l’encontre de leur chère personne… Ma culture (notre culture) me rendait la beauté plus accessible que la vérité.
Bien sûr la poésie peut consoler, apaiser ; l’enthousiasme aussi. Mais la douleur revenait toujours plus rongeante, plus déprimante et il fallut que je me rende à l’évidence : « quelque chose leur échappait à tous (kinés et médecins compris) »…
Revenir à la réalité, il fallait revenir à la réalité…
La douleur, rien que la douleur ! Et toutes les thérapies qui n’aident pas « vraiment » doivent être écartées !
À ce moment, je me trouvais à la croisée des chemins ; je devais choisir (pour moi et pour mes patients) et je claquai la porte de la SBO (société belge d’ostéopathie) dans laquelle je m’étais pourtant engagé politiquement… Quelque temps plus tard, je décrochai du mur de mon bureau mon diplôme d’ostéopathe obtenu à Maidstone, la plaque qui annonçait ma « spécialité » et je déchirai mes cartes de visite…
Ce fut une chute… Je me suis retrouvé seul, envahi par le sentiment d’avoir été floué, trompé. Chute bénéfique cependant, car la réalité ne « demande » rien ; elle est, n’exige aucune foi. Elle résiste à nos idées folles… Il fallait donc que je change puisque la réalité ne changerait pas ! Réalisme…
Le réalisme exige une conversion au sens ancien du terme, un retournement ! C’est sans doute la raison pour laquelle le début des solutions aux douleurs communes trouve ses origines en Angleterre, car la mentalité anglo-saxonne est spontanément plus encline à cette conversion, à ce retournement : si le réel résiste aux idées qu’on se fait de lui, il faut changer les idées, car on ne peut pas changer le réel ! « Conséquentialisme anglo-saxon », dirait Michel Onfray.
Revenons à ces « abandonnés ».
Ceux qui acquiescent si facilement au « Mal de dos, mal du siècle » furent, comme moi, victimes de pathologies que personne n’a détectées (donc reconnues dans les deux sens du terme) et de doux rêveurs qui les ont emmenés dans un monde poétique certes, mais loin de la trivialité de leurs douleurs réelles.
Ces « patients » (souffrir et patienter), ces patientes victimes de belles idées furent toujours soulagés un certain temps, car les techniques de diversion fonctionnent toujours momentanément et, ensuite, ils en ont essayé d’autres puis sont retournés à leurs douleurs, leurs questions, leur désarroi.
À bout de souffle, le plus souvent, les douloureux chroniques reviennent à des démarches considérées par le corps médical comme étant plus « raisonnables » : gestion du stress, psychothérapie, massage… Et, pensant revenir à la raison ils acceptent qu’ils sont responsables de leurs douleurs (incontournable culpabilité), puis ils cherchent (souvent aidés par d’autres « génies ») le sens caché de leurs douleurs… Le temps passe et leurs douleurs perdurent ou s’empirent…
« C’est peut-être une fibromyalgie », leur dit un jour un « ami », un kiné ou un médecin « ; et les voilà repartis sur un cheval fait de bric et de broc.
(Puisque la fibromyalgie n’est pas une maladie, mais un mot sur lequel les médecins se sont mis d’accord pour désigner le tableau de quelqu’un qui souffre de « partout » depuis longtemps –un autre point de vue sur la fibromyalgie ICI-.)
Et le nombre d’« abandonnés » augmente de façon alarmante (voir Work Fondation).
En 2009, la Work Fondation s’alarmait… Qu’a-t-on fait ? Qui a entendu d’une campagne « Fit for work » que la Work Fondation appelait de ses vœux ? Il faut bien l’admettre : « on » n’a rien fait », mais on célèbre parfois ce qu’on appelle une avancée, comme récemment : indemniser les victimes de tendinites.. (voir les tendinites ICI)
C’est peut-être une fibromyalgie, c’est peut-être le stress, c’est peut-être… C’est peut-être la fibromyalgie… C’est peut-être une tendinite…
Cela…
Je suis toujours interpellé par la façon dont tous ces « abandonnés » de la douleur s’expriment : « cela » dure depuis longtemps, « cela » a déjà été soigné par…, « c’est » constant, « cela » m’a pris un jour et « cela » ne me lâche plus…
Qu’est-ce donc que ce « cela » ? Pourquoi (pour quoi) ont-ils été soignés ? Quel diagnostic ? Quels tissus responsables des douleurs ?
La plupart des patients (que j’appelle « abandonnés ») ne peuvent répondre à ces questions parce qu’aucun praticien n’a risqué une hypothèse consistante avec la physiologie et la mécanique… (c’est d’ailleurs une des conclusions de la Work Fondation en 2009 : « Dans la plupart des cas aucun diagnostic précis n’est posé ».)
Et cette incapacité de dépasser le « cela » impersonnel augmente l’anxiété et les douleurs, car « cela » pourrait être un esprit mauvais, leurs humeurs ou une maladie grave et cachée.
Qu’est-ce donc que ce « cela » que nomme les douloureux ?
Voilà la seule question qui vaille, mais à laquelle on ne commença à répondre (dans le monde anglo-saxon) qu’au milieu des années 50.
Avant, la médecine ne pouvait répondre à cette question que dans quelques cas comme les douleurs liées à la tuberculose, à l’arthrose de hanche et d’autres pathologies qui pouvaient être soulagées par la chirurgie dite « orthopédique » (« ortho » = droit). Les autres douleurs étaient prises en charge comme depuis la nuit des temps par le massage, la chaleur, les étirements et, parfois, par les tractions.
On pensait aussi qu’il fallait « remettre les gens droits » (comme en chirurgie) et les patients étaient massés, chauffés, étirés pour que « cela » aille mieux !
Jusqu’au milieu des années 50, personne ne se préoccupait de savoir ce que « cela » cachait comme pathologie et personne ne remettait en question l’utilité de ces pratiques ancestrales.
Entre parenthèses, rien n’a vraiment changé en francophonie comme en témoigne le travail que vous pouvez lire ici : http://massageyonne.free.fr/massage/massokine.html Les Français (masseurs-kinésithérapeutes) ont même fait en sorte que seuls les kinés puissent pratiquer le massage (pauvres esthéticiennes susceptibles de se retrouver devant un juge pour avoir réalisé un massage de bien-être du visage.) Absurde ou signe de la grande détresse des kinés (surtout en France) ?
Au milieu du vingtième siècle, un chirurgien se rendit à l’évidence : beaucoup d’interventions chirurgicales étaient inutiles, inefficaces voire toxiques et les kinés qui massaient, chauffaient, étiraient, etc. ne servaient à rien dans les caves de l’hôpital dans lequel il travaillait.
Le docteur Cyriax (chirurgien) rencontrait souvent des patients qui continuaient à se plaindre après avoir été opérés. Il les écouta et les pris au sérieux alors que ses confrères semblaient plus préoccupés de leur technique opératoire que des plaintes des patients qui étaient rapidement étiquetés comme hystériques (remarquez que plus la médecine évolue, moins on évoque l’hystérie pour expliquer les douleurs des patients… Ce sujet à lui seul pourrait faire l’objet d’une recherche !).
Cyriax constata que les patients qui n’avaient pas été soulagés par la chirurgie se plaignaient le plus souvent dans les mêmes termes, aux mêmes endroits, selon un horaire stable, etc.. Il retint, par exemple, que beaucoup de lombalgiques, sans se connaître, se plaignaient d’une augmentation de leurs douleurs à la toux ou lorsqu’ils tentaient de se conformer à la demande de leur kiné de « se tenir droit »
Cyriax nota, retint et pris au sérieux les plaintes et les constantes.
Par ailleurs, il avait entendu que des patients avaient été soulagés par des ostéopathes et il en accompagna certains chez ces praticiens…
Il nota et mémorisa entre autres que deux patients souffrant apparemment de la même manière ne profitaient pas mêmement des techniques ostéopathiques. Certains étaient très bien soulagés, d’autres empirés, d’autre encore ne ressentaient aucun changement.
Cyriax constata aussi que le massage, la chaleur (etc.) apportaient un soulagement au patient, mais que les améliorations étaient toujours brèves. Il rejeta donc ces « techniques » ancestrales en faisant l’hypothèse (confirmée depuis) que ces manœuvres ont un effet sur le contrôle de la douleur, mais pas sur la cause de la douleur.
En résumé, ce chirurgien curieux (dans les deux sens du terme) constata :
– les limites de la chirurgie (il faut dire qu’on opérait, par exemple, une hernie discale sur base de la radio, ou plutôt des ersatz de radio).
– l’inutilité de la kiné de son temps (massage, chaleur, posture, étirements…).
– la nécessité de chercher et de trouver la cause des douleurs de tous ces patients (que j’appelle aujourd’hui encore « les abandonnés »)
– l’utilité relative des techniques ostéopathiques (et le délire des explications des ostéopathes)
– la nécessité de sécuriser les techniques ostéopathiques utiles…
« Pourquoi ? Quels mécanismes ? Quelles causes ? Comment soulager ? »
Ces questions et beaucoup d’autres ont occupé de plus en plus de place dans la réflexion de Cyriax et, soutenu par la pensée « logique » de Bertrand Russel, il jeta les bases de la Médecine Orthopédique Générale au point de renoncer à son tablier de chirurgien et termina sa carrière à la Rochester University (NY, United States) comme professeur honoraire.
Dans les années cinquante, Cyriax n’opéra donc plus (en particulier les hernies discales)… Primum non nocere (d’abord ne pas nuire), disait Hippocrate.
Il y a quelques années, la société de chirurgie orthopédique américaine soulignait que, dans la plupart des cas, les hernies discales se résorbent en un an et les auteurs interpellaient avec humour les médecins généralistes : « Si vous AIMEZ vos patients, envoyez-les dans un service de chirurgie qui affiche une liste d’attente de plus d’un an ! » 😉
À l’époque de Cyriax, ses collègues opéraient les hernies discales en se fiant aux radios (et quelles radios !), mais il s’abstint sans pour autant se désintéresser des patients lombalgiques (entre autres). Certains patients, à bout, venaient le trouver : « Faites quelque chose, n’importe quoi même si le soulagement n’est que de courte durée ! », mais Cyriax, en dehors de l’opération, ne disposait quasiment que de la péridurale basse à titre anesthésique (qu’il utilisa d’abord « pour faire plaisir »)…
http://www.youtube.com/watch?feature=player_embedded&v=r-kN5dvgqxA
Mais il constata que les effets bénéfiques perduraient souvent au-delà du temps de vie du produit. Comment, pourquoi ? Il se disait bien qu’il faudrait répondre à ces questions plus tard, mais il prit d’abord acte des réactions des patients : ces péridurales qui ne devaient soulager les patients que pour quelques heures pouvaient agir plusieurs jours ou plusieurs semaines. Cyriax aurait pu envisager l’effet placebo, mais les témoignages (et la façon dont les patients témoignaient de leur amélioration) l’incitèrent à penser :
« Je ne sais pas comment l’anesthésique peut avoir un effet thérapeutique, mais je vais croire les patients ».
Cette rigueur intellectuelle l’amena à développer le concept disco-dure-mérien qui n’est toujours pas remis en cause plus de cinquante ans après lui. Mais c’est une autre histoire.
Croire les patients.
À partir des conséquences de la péridurale basse, armé de ses connaissances anatomiques et physiologiques, Cyriax comprit progressivement le mécanisme des douleurs liées aux disques intervertébraux, quand les opérer et, surtout, quand ne pas les opérer ; quand on pouvait tenter les manipulations (pour recentrer le disque) et quand il était interdit d’y penser ; quand les tractions se justifiaient, etc.
Cyriax appliqua cette démarche intellectuelle à toutes les douleurs musculo-squelettiques et y consacra (selon ses dires) l’essentiel de sa vie.
Tout était à revoir. Tout était à réinventer. Presque toutes les anciennes évidences furent battues en brèche… Cyriax opéra, dans le domaine de la prise en charge des douleurs mécaniques, un véritable retournement, une conversion du regard, une révolution au sens copernicien du terme (Ex. : le plus souvent les patients n’ont pas mal parce qu’ils se tiennent mal… Ils se tiennent mal [selon les critères d’orthogonalité chers aux chirurgiens et aux idéalistes grecs] pour tenter de contrôler leurs douleurs tout en conservant le regard à l’horizontale… Ils tentent de s’adapter à une lésion profonde [qu’ils ne connaissent pas] pour avoir moins mal et conserver leur autonomie.) Certains ont dit que Cyriax avait été l’Einstein de l’orthopédie courante et c’est une erreur, car Einstein mit en évidence une physique qui concernait un autre niveau que la physique de Newton sans la considérer comme fausse.
Cyriax opéra un changement d’optique comme Keppler qui eut l’intuition que la géométrie de Platon et d’Euclide relevait de l’idéalisme. Tout fut bouleversé quand Keppler, Galilée et Copernic se rendirent à l’évidence : la révolution des astres est elliptique et non circulaire comme leurs sens et les Anciens le leur suggéraient.
Pour en finir avec les anciennes idées de rectitude, d’orthogonalité, Cyriax prit au sérieux ses observations : les scoliotiques ne souffrent ni plus ni moins que les autres ET tenter de les redresser lorsqu’ils souffrent n’est pas plus efficace que tenter de redresser un lombalgique en crise qui ne peut marcher qu’en se penchant en avant et à droite (par exemple). En fait, les patients qui ont mal souffrent en général des mêmes problèmes que ceux qui n’ont pas de scoliose (vraie ou « idiopathique »), mais parfois lorsque la scoliose est très avancée et quand les patients sont plus âgés, ils peuvent souffrir de douleurs « osseuses » VOIR ICI.
Croire les patients.
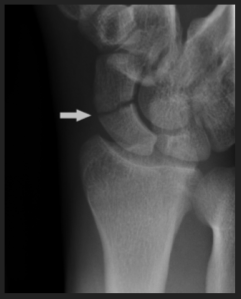
Petit exemple apparemment en dehors de l’orthopédie générale puisqu’il s’agit de traumatologie.
Cyriax était très systématique dans la prise en charge des douleurs de poignet après une chute. En effet, il savait que l’os scaphoïde fêlé pouvait se nécroser si le bras n’était pas plâtré de la main jusqu’au-dessus du coude. Les radiologues décrivaient déjà 6 incidences pour investiguer cet os, mais Cyriax avait constaté (à cause de la qualité des radios de l’époque) qu’on pouvait ne rien voir, « passer à côté ». Il avait donc émis une règle : « Toute suspicion de fissure du scaphoïde doit nous obliger à nous comporter comme s’il s’agissait d’une fracture (plâtre jusqu’au-dessus du coude) ».
Croire le patient.
Petite expérience personnelle : un patient vint me voir pour une « tendinite du poignet » traitée plusieurs semaines par physiothérapie sans résultat. Que disait-il ? « En livrant du mazout chez un client, j’ai eu un retour du tuyau sur mon poignet. Depuis j’ai très mal et je ne sais plus faire certains mouvements. La radio est négative. Il me semble que mon poignet est gonflé et que la douleur empire. J’ai mal la nuit. » Ce monsieur me consultait avec l’intuition qu’il ne s’agissait pas d’une tendinite… Il me disait : « Je crois que c’est plus grave que cela ».
– « J’ai eu un retour du tuyau » : il s’agit d’un traumatisme, donc (et malgré le diagnostic médical) une tendinite est peu probable.
– « Le repos, le traitement et la gymnastique chez le kiné ne m’aident pas » : le diagnostic est peut-être à revoir.
– « Mon poignet est un peu gonflé et certains mouvements empirent la douleur » : quels mouvements ? qu’en est-il si on les reproduit passivement ?
Conclusion temporaire :
Ce n’est sans doute pas une tendinite (d’autant que les tests tendineux ne reproduisent pas la douleur et que les tendinites ne sont pas causées par un traumatisme).
Cela pourrait être osseux (gonflement du poignet, choc du tuyau, douleur la nuit)
Mais la radio est négative…
Quand a-t-elle été réalisée ?
Réponse : le lendemain du traumatisme.
Or les fissures ne se voient parfois qu’après plusieurs jours…
Donc : radios à refaire (selon les six incidences classiques).
Résultats : pas de fracture, pas de fissure.
Le patient dit toujours la même chose et l’examen du poignet fait penser à une fissure du scaphoïde…
Croire le patient.
Qu’aurait fait Cyriax ? Suspicion de fissure du scaphoïde = on se comporte comme s’il y avait une fracture = plâtre jusqu’au-dessus du coude.
Mais cela ne fut pas fait, le patient continuait à souffrir et les semaines passaient…
À l’époque de Cyriax, la scintigraphie n’existait pas.
J’insistai pour obtenir une scintigraphie.
(La scintigraphie permet de visualiser l’activité de l’os -augmentée en cas de fissure ou de fracture par exemple.)
Résultats : fissure ou fracture du scaphoïde.
Malheureusement, ce patient n’a pas été plâtré jusqu’au coude = nécrose du scaphoïde = opération = deux ans d’arrêt de travail !
Conclusion :
Cyriax se rendit donc à l’évidence de la biomécanique, de la physiologie et de l’expérimentation… cette « conversion » balaya toute velléité d’explications psychosomatique ou poétique et ceux (comme moi) qui profitèrent de ses efforts furent obligés de faire le même chemin pour eux-mêmes et pour leurs patients. Rude confrontation, je l’avoue. Et d’autant plus difficile pour un manuel comme moi que l’évolution de la Médecin Orthopédique restreint de plus en plus les indications de traitement manuel des pathologies ostéo-articulaire (Ex. : les lombalgies s’améliorent bien avec le temps, avec les médicaments, avec de bons conseils, avec la péridurale, avec les tractions, avec certaines ceintures, grâce à certaines infiltrations et, parfois, grâce à des techniques manuelles – qui nécessitent souvent, quand même, des infiltrations, des conseils ou des systèmes de contention. Autre exemple : certaines lombalgies de la personne âgée dont le périmètre de marche se restreint ne sont améliorées que par les péridurales basses ou certaines opérations et le thérapeute manuel n’y peut rien – surtout pas redresser le patient qui a tendance à se pencher en avant pour soulager ses douleurs et marcher un peu plus loin.)
Deuil de la toute-puissance et de la poésie !
Car le champ d’action réel du thérapeute manuel se réduit comme une peau de chagrin au fil des années et son devoir est de plus en plus de dialoguer avec le médecin pour accéder au diagnostic afin de trouver la bonne thérapeutique.
Je n’ai donné, ici, que quelques exemples de la démarche de la Médecine Orthopédique Générale. Celle-ci fut étendue par Cyriax et ses « continuateurs » (Te Veer, Ombregt, Bisschop, Deconnink et tant d’autres. Voir : A system of orthopaedic medicine) dont les travaux ne sont pas démentis à ce jour et dont le livre de référence est le seul en orthopédie générale à « tenir le coup » depuis 1975 (Troisième édition en anglais en 2013).
L’essentiel à retenir (si mes digressions vous ont fatigué) tient en peu de mots.
Si vous souffrez et que vous consultez, vous devez sentir que le praticien n’a pas d’a priori, qu’il ne sait rien encore, qu’il va chercher, qu’il va tester, qu’il va prendre son temps, qu’il essaye d’établir un plan de travail, qu’il n’a que faire des évidences (« Vous en avez plein le dos, n’est-ce pas ! »), qu’il va essayer et peut-être se tromper (mais que son erreur sera l’outil pour rebondir, affiner son hypothèse voire la changer)…
Car, depuis Cyriax, les praticiens doivent croire a priori, et jusqu’à preuve du contraire, à la réalité d’une lésion anatomique puis, par déduction, chercher la lésion en partant d’une certitude apparemment curieuse pour le patient : JE NE SAIS PAS de quoi souffre cette personne.
Ainsi, avant de risquer un début de diagnostic si le patient se plaint de l’épaule, le praticien devrait écouter, regarder, réaliser une batterie de 12 tests SANS TOUCHER l’endroit que désigne le patient et que celui-ci soupçonne être à l’origine de sa douleur (voir cervicalgies le piège), car la palpation oriente le diagnostic du praticien vers le tissu désigné et parasite la démarche diagnostique.
À chaque consultation du même patient, le praticien doit donc :
CROIRE LE PATIENT et NE PAS SAVOIR (VOIR ICI)
Complément :
http://massageyonne.free.fr/massage/massokine.html
En 1871 le Docteur Eugène Dally propose un nouveau terme pour remplacer le mot « massage » : pselaphie (du grec « tâter dans l’obscurité, tâtonner, toucher »).
Tâter dans l’obscurité, donc chercher. Tâtonner, donc essayer. Puis, après : toucher… Bien avant Cyriax Dally eut peut-être l’intuition de ce qui viendrait et de ce toucher propre à la Médecine Orthopédique Générale qu’on nomma (entre autres) « massage » faute de mieux ; et au risque d’alimenter les vieilles croyances (car le massage classique fait du bien, mais ne soigne rien).
Texte et images extraits de l’« Émergence de la Kinésithérapie en France à la fin du XIXe siècle et au début du XXe siècle »,
de Jacques MONET, Thèse de Doctorat en Sociologie, Université de Paris I – Panthéon Sorbonne, 2003.
Le massage à visée thérapeutique n’a connut qu’une évolution marginale dans la pratique médicale. Dans l’Antiquité, il était courant de bénéficier du massage dans les thermes et les hammams et l’étymologie même du mot « Massage » remonte à cette époque. Mais il faut préciser que ses racines, qu’elles soient grecques, arabes ou hébraïques, ne décrivent que l’action, le geste : presser, palper ou frotter, à l’image de la traduction latine « frictio ». Aucun mot ne regroupe l’ensemble des techniques dans le but de définir une discipline à part entière. En fait, le terme de « Massage », alors appelé aussi « Massement », est officiellement admis au début du XIXe siècle, mais est souvent confondu avec la notion de « gymnastique ». D’ailleurs LING ne fait pas de distinction entre les 2 concepts, les manœuvres de massage étant désignées comme « gymnastique suédoise » au même titre que les exercices actifs. Les Docteurs FORESTIER et DAQUIN rapportent que la méthode du massage paraît avoir été empruntée en 1799, au retour de l’expédition de BONAPARTE, aux Égyptiens qui, à la sortie du bain, frottaient tout le corps (« matz » exprimant l’action de masser). L’association de la douche et du massage fut introduite aux thermes d’Aix-les-Bains, représentant alors un moment important de la cure dénommé « douche-massage ». Le massage est alors considéré pour ses vertus hygiéniques et préventives et non encore pour son action médicale curative…
Dans sa thèse, JEAN DOMINIQUE ESTRADERE divise le procédé du massage en 2 activités distinctes : le massage hygiénique s’adressant au corps sain pour améliorer ou conserver la santé, et le massage thérapeutique réservé au corps malade qui nécessite le concours et la présence du médecin. C’est le premier auteur à présenter au corps médical dans un même traité un ensemble hiérarchisé de manipulations manuelles et instrumentales qui constitue le massage. Pour distinguer cette démarche de validation médicale, un nouveau terme, « pselaphie » (du grec « tâter dans l’obscurité, tâtonner, toucher ») est proposé en 1871 par le Docteur EUGENE DALLY en remplacement des mots « massage » ou « massement ».
Vous pouvez bien sûr m’interpeller… Je répondrai à chacun, toujours !!!
ACCUEIL






Effectivement la difficulté est double, et c’est un cercle vicieux :
– l’égo des thérapeutes : je connais peu de professionnels de santé qui avouent leur impuissance ou leur doute quant aux douleurs de leur patient… saleté d’égo!
– le besoin du patient d’être rassuré : le patient lui même n’apprécie généralement pas le thérapeute qui lui dit « je ne sais pas mais on va chercher ». Il est bien souvent plus rassuré par le thérapeute qui lui affirme des choses. Quitte à ce qu’elle soit fausse. Pour simple exemple, le patient qui arrive chez son doc en disant « ‘m’sieur j’ai mal en bas du dos ». Le doc : « c’est normal vous avez une lombalgie ». Le patient « ah bah voilà, merci doc! » Et ça va déjà mieux
Bref on est donc dans un cercle sans fin où le thérapeute veut en même satisfaire son égo et rassurer son patient qui lui cherche à être rassuré par son médecin…
J’essaie autant que possible de dire la vérité à mes patients, et bien souvent j’ai l’impression d’être le 1er à leur dire certaines choses… et je me dis presque « merde j’ai trahi le secret que le monde médical avait caché ». Mais en même temps je n’aime pas mentir, donc je peux me regarder en face!
Donc bel article, mais beaucoup de praticiens de santé sont dirigés par leur égo et leurs certitudes du savoir, ce qui souvent m’effraie quand j’échange avec certains confrères…
Pour éviter de parler des autres (car nous sommes tous pareils), je préfère toujours me souvenir que le début de l’orthopédie générale efficace correspond à cette simple constatation : les patients racontent toujours la même histoire, on ne les comprend pas encore, mais il faut commencer par les croire et chercher une logique dans ce qu’ils disent (il y en a toujours une même si leurs douleurs cachent des métastases osseuses.) Cyriax opéra ce renversement en orthopédie générale et toute la médecine fit la même démarche. C’est pourquoi on entend de moins en moins parler de « conversion hystérique » (qui servaient souvent de paravent aux médecins démunis ou qui ne prenaient pas le temps) 😉
Si vous êtes français, je comprends votre effroi. Les kinés français sont mal partis. Ils savent ou ils s’injurient. Vu d’ici, c’est terrifiant 😉
Yves
Bonjour Yves, franchement intéressant ton article, au départ la question que je me pose à chaque fois: faut-t-il reconsidérer notre façon même de prendre en charge un patient qui se plein de douleurs? existe t’il un faussé engendré par le modernisme médical et la thérapie manuelle du kinésithérapeute ou celle d’un ostéopathe? l’intérêt thérapeutique n’est-t-il pas celui de réussir à éliminer la douleur et par conséquent satisfaire le patient et le soulager psychologiquement de la phobie de la récidive du mal? autant de questions qui me perturbent autant que peut dans mon quotidien de thérapeute.En fait nous avons peur de la réaction négative que pourrai avoir un patient lorsqu’on ne réussi pas à le soulager de sa douleur.. perdra t’il la confiance placée en nous? ou malgré tout se laissera t-il faire en ayant l’espoir qu’il sera soulagé de sa douleur? En tout cas c’est un sujet important qu’il faudra à mon sens étaler. En dernier notre devoir de professionnel nous incite à croire ce que le malade nous dit et surtout le prendre très au sérieux. Bonne continuation Yves,Amicalement Djamel.