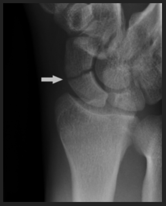
Scaphoide fracture Publié 20 février 2013 à 577 × 716 dans Je vous crois ← Précédent J’aime chargement… Poster un commentaire ou un rétrolien.